Bệnh nha chu là gì
Badge field

Bệnh viêm nha chu là gì? Nguyên nhân, dấu hiệu và cách chữa trị viêm nha chu

Published date field
Published date field Cập nhật mới nhất:

Được Colgate Global Scientific Communications đánh giá về mặt y khoa

Viêm nha chu là bệnh nhiễm trùng nướu răng nghiêm trọng, nếu không điều trị kịp thời có thể khiến răng lung lay hoặc mất răng. Vậy cụ thể viêm nha chu là gì? Dấu hiệu và cách điều trị viêm nha chu như thế nào? Hãy cùng Colgate tìm hiểu trong bài viết dưới đây!

Viêm nha chu là gì?

Viêm nha chu là tình trạng tổ chức quanh răng bị viêm nhiễm, khiến răng mất liên kết với cấu trúc nâng đỡ răng. Ban đầu bệnh viêm nha chu chỉ ảnh hưởng đến phần mô mềm - nướu răng, sau đó phát triển và ảnh hưởng đến cả xương ổ răng, nghiêm trọng hơn có thể gây rụng răng, mất răng.  

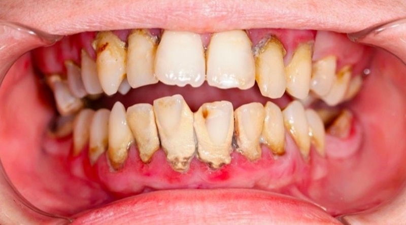
Viêm nha chu là tình trạng tổ chức quanh răng bị viêm nhiễm

Dấu hiệu nhận biết bệnh viêm nha chu

Dưới đây là những dấu hiệu của bệnh viêm nha chu:

  • Nướu sưng và chuyển sang màu đỏ tươi, đỏ sẫm hoặc tím sẫm.

  • Cảm thấy mềm khi chạm vào phần nướu. 

  • Nướu dễ bị chảy máu khi đánh răng hoặc xỉa răng.

  • Hôi miệng.

  • Xuất hiện túi mủ giữa răng và nướu.

  • Răng lung lay hoặc mất răng.

  • Đau nhức răng khi nhai.

  • Xuất hiện khoảng trống hình tam giác màu đen giữa răng.

  • Bị tụt nướu

  • Khoảng cách giữa các răng thay đổi.

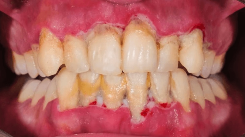
Dấu hiệu viêm nha chu là nướu sưng đỏ, xuất hiện túi mủ

Bệnh viêm nha chu thường diễn biến thầm lặng và phát triển dần từ nhẹ sang nặng. Trong giai đoạn đầu, triệu chứng của bệnh viêm nha chu chính là viêm nướu, nướu sưng đỏ và dễ chảy máu khi đánh răng. Sau khi chuyển biến nặng hơn sẽ hình thành túi mủ giữa răng và nướu, cần phải vệ sinh nha khoa từ sâu bên trong các đường nướu.

Phân biệt viêm nha chu và viêm nướu

Viêm nướu là viêm nhiễm phần nướu xung quanh răng, khiến nướu sưng đỏ và dễ bị chảy máu. Trong khi đó, viêm nha chu có triệu chứng nghiêm trọng hơn, là tình trạng viêm nhiễm các tổ chức xung quanh răng, tiêu xương ổ răng, xuất hiện túi mủ giữa răng và nướu, khiến răng lung lay, chân răng dài ra và hôi miệng,...

Như vậy, viêm nướu là biểu hiện đầu tiên của bệnh viêm nha chu. Khi bị viêm nướu, cấu trúc neo giữ răng vẫn chưa bị mất nên cách chữa trị đơn giản hơn, chỉ cần vệ sinh răng miệng tại nhà hoặc đến nha khoa làm sạch mảng bám, lấy cao răng. Tuy nhiên, khi tiến triển thành bệnh viêm nha chu thì phác đồ điều trị sẽ phức tạp hơn, bác sĩ cần xử lý sâu đến phần chân răng và sử dụng thuốc tùy theo từng trường hợp cụ thể.

Phân biệt viêm nha chu và viêm nướu

Nguyên nhân gây bệnh viêm nha chu

Nguyên nhân gây bệnh viêm nha chu chính là các mảng bám trên răng. Mảng bám là những màng sinh học cứng chắc, chứa nhiều vi khuẩn có hại gây viêm lợi, phá huỷ mô nâng đỡ răng, dẫn đến nướu tụt ra khỏi răng và hình thành túi nha chu có mủ.

Cụ thể, viêm nha chu sẽ tiến triển theo các giai đoạn sau:

  • Hình thành mảng bám trên răng do không vệ sinh răng miệng tốt, tinh bột và đường trong thức ăn còn sót lại sẽ làm vi khuẩn trong miệng phát triển nhanh chóng. 

  • Các mảng bám cứng lại thành cao răng ở dưới đường viền nướu. Nếu không lấy cao răng thì sau thời gian dài, vi khuẩn trong vôi răng sẽ gây viêm nướu. 

  • Nướu bị viêm, sưng tấy và kích ứng dẫn đến viêm nha chu. Giữa nướu và răng hình thành các túi mủ, chứa đầy mảng bám, cao răng, vi khuẩn,... Nếu không được điều trị kịp thời thì các mô nâng đỡ răng sẽ bị phá huỷ, làm răng lung lay, thậm chí là mất răng.

Nguyên nhân gây viêm nha chu là vi khuẩn từ mảng bám trên răng

Yếu tố làm tăng nguy cơ bị viêm nha chu

Các yếu tố dưới đây sẽ làm tăng nguy cơ mắc bệnh viêm nha chu:

  • Chăm sóc răng miệng không kỹ. 

  • Viêm lợi.

  • Hút thuốc lá, sử dụng ma tuý.

  • Thay đổi nội tiết tố và giảm sức đề kháng ở phụ nữ mang thai hoặc tiền mãn kinh.

  • Thiếu hụt chất dinh dưỡng, đặc biệt là vitamin C.

  • Yếu tố di truyền.

  • Sử dụng các loại thuốc gây khô miệng.

  • Mắc các bệnh làm giảm khả năng miễn dịch, như bệnh bạch cầu, HIV/AIDS, ung thư, tiểu đường, viêm khớp dạng thấp, bệnh crohn (viêm ruột mạn tính từng vùng).

Bệnh viêm nha chu có nguy hiểm không?

Bệnh viêm nha chu rất nguy hiểm vì có thể biến chứng làm phá huỷ các cấu trúc nâng đỡ răng, khiến răng lung lay, thậm chí là rụng răng. Ngoài ra, viêm nha chu còn làm tăng nguy cơ mắc bệnh tim, đột quỵ, tiểu đường, bệnh đường hô hấp và tuyến tiền liệt. 

Viêm nha chu có lây không?

Vi khuẩn gây viêm nha chu có thể lây qua đường nước bọt nếu như bạn hôn, uống chung ly hoặc dùng chung đồ vật với người bệnh. Tuy bệnh nha chu có thể lây nhưng không chắc chắn là bạn sẽ mắc bệnh khi tiếp xúc gần với người bệnh.

Cách chẩn đoán bệnh viêm nha chu

Để phát hiện răng bị viêm nha chu, bác sĩ sẽ chẩn đoán dựa trên:

  • Kết quả khám lâm sàng: Bác sĩ sẽ sử dụng đầu dò nha chu để đo lường chính xác vị trí túi viêm, mức độ viêm nhiễm hiện tại.

  • Chụp X-quang: Sau khi khám lâm sàng, bác sĩ sẽ chụp X-quang để kiểm tra mức độ bao phủ của xương quanh răng.

  • Xét nghiệm vi sinh: Kiểm tra các thành phần trong mảng bám, tìm các vi khuẩn có hại như Prevotella trung gian, Porphyromonas nướu, Aggregatibacter xạ khuẩn, Treponema denticola. 

  • Chẩn đoán giai đoạn và cấp độ bệnh: Viêm nha chu được phân thành 4 giai đoạn và 3 cấp độ. Bác sĩ sẽ xác định hiện trạng của bạn để lên phác đồ điều trị viêm nha chu phù hợp

Cách chẩn đoán bệnh viêm nha chu

Bệnh viêm nha chu có chữa khỏi được không?

Bệnh viêm nha chu không thể chữa khỏi hoàn toàn nhưng có thể kiểm soát nếu bạn chăm sóc và điều trị đúng cách. Hãy vệ sinh răng miệng theo khuyến nghị từ bác sĩ, đánh răng 2 lần/ngày và dùng chỉ nha khoa để loại bỏ mảng bám trên răng. Đồng thời, thăm khám nha khoa định kỳ 6 tháng/lần để kịp thời phát hiện và điều trị viêm nha chu.

Phương pháp điều trị bệnh viêm nha chu

Điều trị khẩn cấp

Nếu ổ mủ hình thành ở vùng nướu (áp xe răng) hoặc niêm mạc bị viêm, bác sĩ sẽ chỉ định điều trị khẩn cấp. Lúc này, áp xe sẽ gây đau (đau nhiều hoặc ít) khi chạm vào, màng nhầy đỏ và sưng lên.

Bác sĩ thường chỉ định điều trị khẩn cấp bệnh viêm nha chu bằng thuốc kháng sinh và thuốc chống viêm. Tuy nhiên, đây chỉ là phương pháp tạm thời và bệnh có thể chuyển sang mãn tính và tái phát cấp tính theo chu kỳ.

Điều trị không phẫu thuật

Tùy vào tình trạng bệnh nha chu, nha sĩ sẽ điều trị không phẫu thuật như sau:

  • Bôi thuốc chống viêm và sát khuẩn lên vùng nướu bị viêm, sưng.

  • Vệ sinh chân răng và lấy vôi răng: Theo Học viện Nha chu Hoa Kỳ (AAP), đây là cách vệ sinh sâu giúp loại bỏ mảng bám và vôi răng dưới đường viền nướu. Thủ thuật này có thể được thực hiện sau khi bệnh nhân được gây tê cục bộ.

  • Kiểm tra các miếng trám răng, chỉnh sửa hoặc thay thế miếng trám. Phục hình những răng đã trám không đúng kỹ thuật hoặc tạm thời.

  • Khắc phục tình trạng răng lung lay.

  • Nhổ răng đối với những răng không thể giữ được.

Điều trị phẫu thuật

Điều trị phẫu thuật chỉ áp dụng khi đã áp dụng các biện pháp điều trị thông thường nhưng bệnh không có dấu hiệu đáp ứng. Một số phương pháp điều trị phẫu thuật bệnh nha chu như sau:

  • Phẫu thuật loại bỏ túi nha chu: Thu nhỏ độ sâu túi nha chu, giúp việc làm sạch mảng bám trên răng dễ dàng hơn.

  • Phẫu thuật nướu: Được thực hiện để khắc phục các tổn thương do nhiễm trùng nướu. Các thủ thuật bao gồm cắt nướu để loại bỏ mô bị nhiễm trùng, làm sạch bên dưới đường viền nướu để loại bỏ vi khuẩn gây nhiễm trùng.

  • Phẫu thuật tái tạo: Phương pháp điều trị này được sử dụng để khắc phục tổn thương xương và mô. Bác sĩ chuyên khoa nha chu sẽ loại bỏ nhiễm trùng khỏi mô nướu, sau đó sẽ ghép xương, mô nha chu hoặc các protein kích thích mô để tạo điều kiện cho xương và mô tái tạo.

  • Phẫu thuật ghép nướu (mô mềm): Chân răng bị lộ ra ngoài là hậu quả của bệnh tụt lợi. Phẫu thuật ghép mô mềm sẽ phục hồi những hư hại và ngăn chặn tụt lợi phát triển dẫn đến sự phá hủy mô lợi và xương quanh răng. Phẫu thuật này có thể tiến hành ở 1 hoặc nhiều răng để đảm bảo tính thẩm mỹ của đường viền nướu và cải thiện tình trạng ê buốt răng.

Điều trị duy trì

Sau khi áp dụng các phương pháp điều trị tích cực và bệnh ổn định, người bệnh cần được kiểm tra, theo dõi, thăm khám định kỳ và áp dụng điều trị duy trì. Điều này nhằm mục đích kiểm soát, ngăn ngừa bệnh viêm nha chu tái phát và tiến triển.

 

Cách chữa trị bệnh viêm nha chu

Thuốc điều trị bệnh viêm nha chu

Dưới đây là những loại thuốc hỗ trợ điều trị bệnh viêm nha chu:

  • Thuốc giảm đau thông thường (paracetamol) giúp giảm triệu chứng đau.

  • Thuốc kháng sinh (beta-lactam, macrolide) giúp diệt trừ vi khuẩn có hại trong răng miệng.

  • Thuốc kháng viêm non-steroid (ibuprofen, axit mefenamic, diclofenac, meloxicam) giúp giảm triệu chứng viêm, sưng đỏ, sưng tấy.

Tuy nhiên, khi sử dụng thuốc chữa răng bị nha chu, bạn cần lưu ý những điều sau:

  • Những người có tiền sử mắc bệnh viêm loét dạ dày không nên sử dụng thuốc giảm đau aspirin, thuốc kháng viêm non-steroid và thuốc corticosteroid.

  • Chỉ được sử dụng thuốc trị viêm nha chu khi có sự chỉ định từ bác sĩ để tránh tác dụng phụ không mong muốn.

Cách chữa viêm nha chu tại nhà bằng phương pháp dân gian

Song song với việc thăm khám nha sĩ, bạn có thể chữa viêm nha chu tại nhà bằng các mẹo dân gian đơn giản như sau:

  • Súc miệng bằng nước muối ấm

Nước muối có khả năng kháng khuẩn rất tốt, vì vậy bạn có thể mua nước muối sinh lý hoặc pha loãng muối sạch để chữa viêm nha chu và các bệnh răng miệng khác. Tuy nhiên, hãy pha loãng và tránh vị quá mặn để men răng không bị ăn mòn. Mỗi ngày súc miệng bằng nước muối ấm từ 3 - 5 phút sau khi ăn sẽ giúp bạn hạn chế cơn đau từ bệnh viêm nha chu.

  • Dùng nước cốt chanh và muối trắng

Nước cốt chanh cung cấp lượng lớn vitamin C, hoà chung với muối trắng sẽ có hiệu quả diệt khuẩn, kháng viêm. Tuy nhiên, bạn không nên sử dụng cách này với vết thương hở để tránh đau rát, không quá lạm dụng để hạn chế mòn men răng. Tốt nhất, nên áp dụng khoảng 2 lần mỗi tuần. 

Cách chữa bệnh viêm nha chu tại nhà bằng chanh và muối trắng rất đơn giản. Bạn chỉ lần lấy một chút muối hoà tan cùng 2 - 3 thìa nước cốt chanh. Sau đó dùng tăm bông thấm dung dịch này và bôi lên vùng bị viêm nha chu, giữ nguyên trong miệng 5 - 7 phút rồi súc miệng bằng nước sạch.

 

Cách chữa viêm nha chu tại nhà bằng phương pháp dân gian
  • Chữa viêm nha chu tại nhà bằng tinh dầu đinh hương

Bạn hãy dùng tăm bông chấm vào tinh dầu đinh hương, sau đó thoa lên vùng bị viêm nha chu. Sau 5 phút thì súc miệng lại bằng nước sạch. Tốt nhất bạn nên sử dụng cách chữa viêm nha chu theo dân gian này 2 lần/ngày.

  • Trị bệnh viêm nha chu bằng mật ong

Trong mật ong có chứa propolis, có tác dụng làm giảm tình trạng nhiễm trùng nướu hiệu quả. Bạn hãy thoa mật ong lên vùng bị viêm nướu và ngậm trong vòng 5 phút, lúc này cơn đau sẽ dịu đi rất nhiều. Tuy nhiên, không nên sử dụng mật ong cho những người đang bị sâu răng, chất ngọt trong mật ong sẽ khiến tình trạng sâu răng nặng hơn.

  • Chữa viêm nha chu tại nhà bằng gừng tươi

Gừng được xem là một trong những vị thuốc Đông y, có tính ấm và làm giảm tình trạng viêm nhiễm. Bạn hãy thái lát gừng tươi, đun sôi với nước sau đó uống hoặc súc miệng để hỗ trợ chữa bệnh viêm nha chu.

  • Chữa răng bị nha chu bằng cây lược vàng

Bạn hãy tìm cây lược vàng có tuổi thọ trên 1 năm, rửa sạch lá và cắt sợi phơi khô. Sau đó, dùng lá đã vơi khô ngâm với rượu trắng ít nhất 20 ngày. Để nhanh chóng chữa bệnh viêm nha chu, bạn hãy lấy rượu này ngậm hoặc súc miệng hàng ngày.

Bên cạnh những mẹo dân gian chữa bệnh viêm nha chu này, nha sĩ khuyên bạn nên:

  • Đánh răng 2 lần mỗi ngày, mỗi lần 2 phút. 

  • Sử dụng kem đánh răng có chứa fluor.

  • Thay bàn chải đánh răng ít nhất 3 - 4 tháng 1 lần hoặc thay sớm hơn nếu lông bàn chải đã bị xơ. 

  • Tuyệt đối không sử dụng chung bàn chải để tránh vi khuẩn lây lan. 

  • Có thể sử dụng thêm chỉ nha khoa, bàn chải kẽ răng và nước súc miệng sát trùng để tiêu diệt mảng bám cũng như vi khuẩn gây viêm nha chu. 

  • Không nên hút thuốc lá, uống rượu bia. 

  • Uống đủ 1,5 - 2 lít nước mỗi ngày.

  • Kiểm soát đường huyết theo chỉ dẫn của bác sĩ.

Xem thêm: Nước súc miệng điều trị viêm nướu và nha chu

 

Cách phòng ngừa bệnh viêm nha chu

  • Đánh răng và dùng chỉ nha khoa để loại bỏ mảng bám và thức ăn thừa. Đảm bảo chải răng trong 2 phút và làm sạch tất cả các bề mặt răng. Đồng thời mát xa cho nướu để làm tăng lưu lượng máu đến mô nướu. 

  • Khám răng định kỳ 6 tháng/lần là điều quan trọng để ngăn ngừa bệnh nha chu. Trong mỗi lần khám răng, nha sĩ sẽ đánh giá tình trạng nướu của bạn, đo các túi nha chu xung quanh răng để phát hiện dấu hiệu bệnh nha chu.

  • Thực hiện chế độ ăn uống khoa học, đầy đủ chất dinh dưỡng để bổ sung vitamin C, K và tăng cường sức đề kháng của cơ thể.

Cách phòng ngừa bệnh viêm nha chu

Các câu hỏi thường gặp

1. Chữa viêm nha chu hết bao nhiêu tiền?

Chi phí điều trị viêm nha chu thường dao động từ 500.000 - 700.000 đồng, có khi lên đến hàng chục triệu đồng. Mức chi phí này sẽ phụ thuộc vào tình trạng bệnh, phương pháp điều trị, tay nghề bác sĩ, cơ sở vật chất và thiết bị điều trị bệnh viêm nha chu.

2. Bị viêm nha chu bao lâu thì khỏi?

Bệnh viêm nha chu có thể chữa khỏi trong khoảng 5 - 7 ngày, bằng phương pháp vệ sinh răng miệng, cạo vôi răng hoặc sử dụng thuốc. Tuy nhiên, bệnh viêm nha chu có tính chất tái phát (mạn tính) nên không thể chữa khỏi hẳn trong 1 lần, có nguy cơ tái phát lại.

3. Khi nào cần gặp bác sĩ nếu nghi ngờ bị viêm nha chu?

Khi gặp các triệu chứng dưới đây, bạn cần lập tức thăm khám bác sĩ để tránh biến chứng nguy hiểm:

  • Nướu sưng đỏ, đau. 

  • Chảy máu chân răng khi đánh răng hoặc ăn thức ăn cứng.

  • Răng lung lay.

  • Xuất hiện các khối y trên nướu (túi viêm có mủ), cảm giác hơi cộm ở môi.

  • Loét miệng hoặc có những mảng đỏ trong miệng.

  • Hôi miệng.

Viêm nha chu là căn bệnh có thể phòng ngừa được nếu bạn xây dựng một lối sống lành mạnh và duy trì thói quen chăm sóc răng miệng tốt. Nếu nhận thấy dấu hiệu bất thường về răng miệng, hãy đến bệnh viện hoặc các trung tâm y tế để được thăm khám kịp thời.