Badge field

Chảy máu chân răng thường xuyên là do đâu? Cách điều trị và phòng ngừa

Published date field
Published date field Cập nhật mới nhất:

Được Colgate Global Scientific Communications đánh giá về mặt y khoa

Bị chảy máu chân răng là một vấn đề phổ biến trong nha khoa và gây lo lắng cho những người gặp tình trạng chảy máu răng kéo dài. Khi thấy máu chảy và tích tụ ở chân răng, nhiều người tự tìm hiểu nguyên nhân và những ảnh hưởng đến sức khỏe răng miệng. Từ viêm nhiễm nướu đến chấn thương, chảy máu chân răng có thể là triệu chứng của các bệnh lý nghiêm trọng. Trong bài viết này, Colgate sẽ cung cấp đến bạn đọc những thông tin cơ bản về chảy máu chân răng là bệnh gì, nguyên nhân, triệu chứng và cách điều trị hiệu quả.

Chảy máu chân răng là bệnh gì?

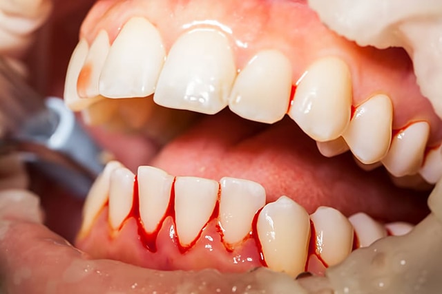
Chảy máu chân răng là tình trạng chảy máu từ phần lợi, nướu, hốc răng, thường xuất hiện khi chải răng. Lúc này, nướu trở nên nhạy cảm và dễ tổn thương, dẫn đến chảy máu chân răng khi chúng ta đánh răng hoặc cắn nhai. Ngoài tình trạng chảy máu chân răng, người bệnh còn xuất hiện một số triệu chứng như sưng nướu, hôi miệng,..

 

Chảy máu chân răng là bệnh lý răng miệng thường gặp với tình trạng chảy máu quanh nướu và chân răng

 

Những nguyên nhân phổ biến gây chảy máu răng

Dưới đây là một số nguyên nhân phổ biến gây chảy máu răng bao gồm viêm nướu, viêm nha chu, áp xe răng, chế độ ăn thiếu dinh dưỡng,...

1. Viêm nhiễm nướu

Viêm nướu khiến nướu bị sưng là nguyên nhân chính dẫn đến tình trạng chảy máu chân răng. Viêm nướu là giai đoạn đầu của bệnh nha chu, hay còn gọi là bệnh nướu răng. Điều này thường xảy ra do vệ sinh răng miệng không sạch sẽ dẫn đến tích tụ của vi khuẩn trong mảng bám. Vi khuẩn sản xuất chất độc gây kích thích nướu, gây viêm và làm yếu mô nướu liên kết xung quanh chân răng.

Nếu không được điều trị, chảy máu răng có thể dẫn đến viêm nhiễm nướu nặng hơn, làm mất răng và gây hậu quả nghiêm trọng cho sức khỏe răng miệng. Việc duy trì vệ sinh răng miệng đúng cách và thường xuyên khám nha khoa là cách tốt nhất để phòng ngừa và điều trị chảy máu răng.

2. Viêm nha chu

Viêm nha chu là tình trạng tiến triển nặng của bệnh viêm nhiễm nướu, là một trong những nguyên nhân chính gây chảy máu chân răng. Khi vi khuẩn tích tụ trong mảng bám nướu, chúng tạo ra các chất độc gây kích thích nướu và làm mất tính đàn hồi của nướu. Đây là quá trình viêm nhiễm mô mềm xung quanh chân răng và cần được điều trị viêm nha chu kịp thời để tránh bị tụt lợi, mất răng.

3. Áp xe răng

Áp xe răng, còn được gọi là ổ mủ áp xe, là một tình trạng nha khoa mà vi khuẩn gây ra nhiễm trùng nướu và hình thành một ổ mủ dưới nướu gần chân răng. Một trong những triệu chứng điển hình của áp xe chân răng là chảy máu chân răng.

Khi bị áp xe chân răng, người bệnh có thể trải qua những triệu chứng như đau nhức liên tục tại vùng răng bị ảnh hưởng. Đồng thời, có thể xuất hiện các biểu hiện khác như sốt toàn thân và sưng vùng mặt.

4. Thiếu vitamin C

Chảy máu chân răng là do thiếu chất dinh dưỡng, thiếu hụt vitamin khoáng chất như vitamin C. Nếu bạn thường xuyên ăn uống thiếu dưỡng chất sẽ dẫn đến tình trạng thiếu chất, là nguyên nhân khiến chảy máu răng.

5. Thiếu hụt vitamin K

Việc thiếu vitamin K có thể khiến nướu của bạn bị chảy máu. Nguyên nhân có thể do chế độ ăn uống thiếu chất hoặc cơ thể không hấp thụ tốt vitamin này. Tình trạng thiếu vitamin K cũng có thể gây ra các vấn đề về chảy máu khác.

6. Do kỹ thuật dùng chỉ nha khoa

Việc sử dụng chỉ nha khoa không đúng cách và không đúng kỹ thuật cũng có thể gây chảy máu chân răng, sưng nướu hoặc chảy máu nướu. Vì vậy, bạn nên thao tác nhẹ nhàng khi dùng chỉ nha khoa thay vì buộc chỉ giữa các răng, hãy cẩn thận trượt lên và xuống theo đường cong của từng chiếc răng.

7. Do phẫu thuật nha khoa

Phẫu thuật nha khoa thường cần thời gian để vị trí phẫu thuật phục hồi và tình trạng chảy máu nướu răng giảm dần và khỏi hẳn khi vết thương lành. Một số trường hợp phẫu thuật nha khoa như nhổ răng, cấy ghép răng, lấy tủy răng,..

8. Chảy máu do chấn thương răng

Để cầm máu bạn nên sử dụng một miếng gạc hoặc túi trà đã được làm ẩm để tạo áp lực lên vị trí chảy máu.

9. Chảy máu do bệnh tiểu đường

Lượng đường trong máu cao do bệnh tiểu đường khiến hàm lượng đường trong nước bọt quanh răng và dưới nướu tăng. Điều này tạo điều kiện thuận lợi cho vi trùng có hại và mảng bám phát triển. Mảng bám gây kích ứng nướu và dẫn đến bệnh nướu răng, sâu răng và mất răng.

Bệnh tiểu đường khiến lượng đường trong máu tăng cao. Điều này làm tăng hàm lượng đường trong nước bọt xung quanh răng và dưới nướu. Môi trường giàu đường này là điều kiện lý tưởng cho vi khuẩn gây hại và mảng bám phát triển mạnh. Lúc này, các mảng bám tích tụ gây kích ứng nướu, dẫn đến viêm nướu, sâu răng khiến cho Nnớu của người bệnh thường bị đỏ, sưng và dễ chảy máu.

10. Chảy máu do ung thư máu

Chảy máu nướu răng có thể là tín hiệu đầu tiên cho thấy bạn đang mắc bệnh ung thư máu. Ngoài ra, tình trạng bầm tím nướu và lưỡi, xuất hiện các vết loét hoặc tổn thương trong khoang miệng, sưng nướu cũng là những dấu hiệu đáng chú ý.

11. Chảy máu do giảm tiểu cầu

Rối loạn máu giảm tiểu cầu tự phát gây ra tình trạng thiếu hụt tiểu cầu trong máu, dẫn đến các triệu chứng như dễ bầm tím, chảy máu nướu, thậm chí chảy máu trong các cơ quan.

12. Bệnh Hemophilia hoặc von Willebrand

Bệnh hemophilia hoặc von Willebrand thường gây ra các triệu chứng như chảy máu chân răng, chảy máu khi bị cắt hoặc xước nhẹ. Khi mắc các bệnh này, máu của bạn không thể đông lại như bình thường nên có thể tăng khả năng chảy máu nướu.

13. Hoá trị ung thư

Quá trình hóa trị gây ra nhiều biến chứng cho răng miệng, trong đó có tình trạng nướu bị viêm nhiễm, sưng đau và chảy máu, có thể dẫn đến các vết loét đau đớn, ảnh hưởng lớn đến chất lượng cuộc sống, khiến bệnh nhân cảm thấy khó chịu.

14. Thuốc lá

Thuốc lá và các sản phẩm từ thuốc lá trực tiếp gây hại cho nướu răng, khiến người hút dễ mắc các bệnh về nướu như viêm nướu, chảy máu chân răng. Việc hút thuốc là nguyên nhân chính gây ra nhiều vấn đề về nướu, bao gồm nướu nhạy cảm, chảy máu và loét.

15. Chải răng quá mạnh và sử dụng bàn chải đánh răng lông cứng

Nướu có thể bị chấn thương do dùng bàn chải lông cứng, hoặc đánh răng quá mạnh làm cho tình trạng chảy máu răng xảy ra thường xuyên hơn. Bạn nên đổi sang loại bàn chải đánh răng có lông mềm và dùng lực chải nhẹ hơn để giảm tình trạng chảy máu chân răng khi đánh răng.

16. Sử dụng các loại thuốc chống đông máu

Thuốc chống đông máu cũng là một nguyên nhân có thể gây chảy máu chân răng khi đánh răng. Hãy nói cho nha sĩ hoặc bác sĩ biết về tình trạng sức khỏe và các loại thuốc bạn đang sử dụng vào mỗi lần kiểm tra răng miệng định kỳ. Nếu tình trạng chảy máu trở nên nghiêm trọng hơn, hãy liên hệ với bác sĩ của bạn ngay lập tức.

17. Viêm nướu (viêm lợi) khi mang thai

Phụ nữ mang thai có thể gặp tình trạng sưng lợi và chảy máu khi đánh răng do viêm lợi khi mang thai. Khi có thai, thay đổi nội tiết tố và hormone có thể làm cơ thể phản ứng mạnh hơn với vi khuẩn gây bệnh nướu răng, khiến nướu răng bị sưng viêm. 

Đi khám nha sĩ hoặc chuyên gia vệ sinh nha khoa, đánh răng thường xuyên và sử dụng chỉ nha khoa hàng ngày có thể giúp ngăn ngừa tình trạng viêm và chảy máu nướu trở nên trầm trọng hơn.

18. Sốt xuất huyết gây chảy máu răng

Sốt xuất huyết gây giảm tiểu cầu trong máu, làm cho quá trình đông máu chậm lại. Điều này có thể dẫn đến chảy máu ở chân răng, viền nướu dễ dàng và liên tục hơn. Vì vậy, ở một số bệnh nhân bị sốt xuất huyết, đặc biệt ở giai đoạn nguy hiểm vào ngày thứ 3-7 có thể xuất hiện các triệu chứng xuất huyết như chảy máu răng,... 

Tuy nhiên chảy máu chân răng không phải là một triệu chứng chung của sốt xuất huyết và không phải là biểu hiện chính trong trường hợp này. Triệu chứng chính của sốt xuất huyết bao gồm sốt cao, mệt mỏi, xuất huyết từ các niêm mạc, như nổi ban do máu dưới da và chảy máu từ mũi hoặc niêm mạc khác.

19. Ung thư khoang miệng

Ung thư khoang miệng là một căn bệnh nghiêm trọng ảnh hưởng đến các cấu trúc trong miệng, bao gồm cả nướu và răng. Ung thư khoang miệng sẽ gây ra một số triệu chứng như chảy máu ở chân răng, hôi miệng, lở miệng, ăn uống khó khăn, sưng hoặc nổi hạch trong miệng,... Các u ác tính trong khoang miệng có thể lan rộng và xâm lấn vào mô xung quanh, gây chảy máu răng khi ảnh hưởng đến mạch máu nướu.

Khi bạn đã xác định được đâu là nguyên nhân bị chảy máu chân răng, bạn nên đến thăm khám bác sĩ để điều trị kịp thời, tránh xảy ra các biến chứng nguy hiểm.

Thường xuyên bị chảy máu răng khi đánh răng có sao không?

Nếu không hiểu rõ nguyên nhân và không xử lý kịp thời, chảy máu răng khi đánh răng có thể gây ra những vấn đề nghiêm trọng như viêm nha chu và tổn thương răng cũng như các mô xung quanh. Thậm chí, tình trạng này có thể dẫn đến tụt lợi, mất răng. Đặc biệt, những nhóm người sau đây có nguy cơ cao hơn:

  • Những người mắc bệnh tim mạch hoặc tiểu đường: Chảy máu ở chân răng có thể gây tăng lượng đường trong máu, tạo điều kiện cho viêm nội tâm mạc và tăng nguy cơ bị nhồi máu cơ tim, thậm chí đột quỵ.

  • Phụ nữ mang thai: Trong thời gian thai kỳ, chảy máu ở chân răng có thể gây ra những biến chứng nguy hiểm cho sức khỏe thai nhi, gây nguy cơ sinh non hoặc trẻ sinh non nhẹ cân.

Đối với những nhóm này, việc tìm hiểu nguyên nhân và giải quyết vấn đề chảy máu chân răng là cực kỳ quan trọng để đảm bảo sức khỏe và tránh các biến chứng nguy hiểm.

>>> Xem thêm: Biện pháp khắc phục chảy máu chân răng tại nhà

 

Chảy máu chân răng là dấu hiệu của nhiều bệnh lý răng miệng nghiêm trọng

 

Cách điều trị và phòng ngừa chảy máu răng

Bạn có thể khắc phục và ngăn ngừa tình trạng chảy máu răng để bảo vệ sức khỏe răng miệng của mình. Có hai biện pháp quan trọng để điều trị chảy máu chân răng - chăm sóc răng miệng đúng cách tại nhà và điều trị bởi nha sĩ tại phòng khám nha khoa.

Vệ sinh răng miệng đúng cách tại nhà

Bạn có thể khắc phục tình trạng chảy máu nướu bằng việc chăm sóc răng miệng đúng cách, sử dụng bàn chải lông mềm và dùng chỉ nha khoa phù hợp. Chải răng hai lần một ngày và sử dụng chỉ nha khoa ít nhất một lần một ngày. Nhiều nha sĩ đề nghị bổ sung thêm việc sử dụng nước súc miệng kháng khuẩn vào thói quen chăm sóc sức khỏe răng miệng tại nhà của bạn.

Chải răng đúng kỹ thuật

Chải răng đúng cách là chải theo chiều dọc (từ trên xuống dưới và ngược lại) và xoay tròn. Sau đó, dùng đầu bàn chải để vệ sinh mặt trong răng cửa ở cả hàm trên và hàm dưới. Không nên chải răng quá mạnh và nên dùng bàn chải mềm để tránh làm tổn thương nướu. Bàn chải điện như bàn chải đánh răng điện Colgate có nhiều chế độ rung là một lựa chọn phù hợp giúp chải răng sạch sâu và bảo vệ nướu.

Chế độ ăn uống đầy đủ chất dinh dưỡng

Canxi, magie, vitamin C, K,... là những khoáng chất và vitamin cần thiết để đảm bảo sức khoẻ và hạn chế tình trạng chảy máu răng. Bạn nên thiết lập một chế độ ăn bổ sung các chất dinh dưỡng này cùng nhiều vi chất khác từ đa dạng các loại thực phẩm như hải sản, rau củ, trái cây giàu vitamin C (cam, quýt, bưởi,...).

Bỏ những thói quen xấu

Bạn nên từ bỏ thói quen hút thuốc lá nếu muốn khắc phục tình trạng đánh răng bị chảy máu. Bỏ hút thuốc lá còn giúp bạn có hàm răng chắc khoẻ hơn, giảm ố vàng răng, hơi thở sạch sẽ đồng thời giảm nguy cơ ung thư phổi.

Thăm khám nha sĩ và điều trị chuyên sâu

Bạn nên thường xuyên thăm khám nha khoa 6 tháng một lần để kiểm tra, ngăn ngừa viêm nướu và tình trạng chảy máu răng. Nha sĩ sẽ làm vệ sinh răng, lấy cao răng và mảng bám dưới đường viền nướu và chân răng. Nha sĩ cũng có thể chỉ định dùng nước súc miệng chuyên dùng để làm thuyên giảm tình trạng bị chảy máu chân răng. Nếu tình trạng chảy máu không cải thiện, bác sĩ có thể kê một số thuốc kháng sinh đặc trị như Amoxicillin, Metronidazole, Tetracycline, Penicillin,…

Bị chảy máu chân răng có thể do nhiều nguyên nhân khác nhau và có những cách khắc phục tương ứng. Khám răng và vệ sinh răng miệng thường xuyên rất quan trọng để đẩy lùi bệnh răng miệng và hạn chế tình trạng đánh răng bị chảy máu. Thói quen chăm sóc sức khỏe răng miệng đúng cách và khám răng, lấy vôi răng định kỳ sẽ giúp bạn ngăn ngừa hoặc khắc phục tình trạng này một cách lâu dài.