Mòn răng là gì?

Mòn răng là tình trạng mất đi lớp men răng bên ngoài do bị mài mòn. Men răng mất đi sẽ không thể thay thế một cách tự nhiên. Mòn răng được chia thành 4 loại dựa trên nguyên nhân gây ra:

  • Mòn răng sinh lý do sự ma sát giữa các răng, thường xảy ra ở mặt nhai trước tiên.

  • Mòn răng bệnh lý do sự ma sát giữ răng và tác nhân bên ngoài như đồ vật cứng, bàn chải đánh răng,...

  • Mòn răng hóa học do men răng tiếp xúc với hóa chất có tính axit từ nước hoa quả, axit từ dạ dày,...

  • Tiêu cổ răng là tình trạng cổ răng mất men răng do chịu lực uốn, chải răng không đúng cách trong thời gian dài.

Nguyên nhân dẫn đến tình trạng mòn răng

  • Nghiến răng khi ngủ khiến mặt nhai răng hàm bị mòn.

  • Thói quen đánh răng quá mạnh theo chiều ngang.

  • Thường xuyên uống nước ngọt có ga có axit như nước chanh, nước ép cam,...

  • Người mắc chứng trào ngược dạ dày hoặc nghiện rượu khiến dịch vị axit trong trong dạ dày có cơ hội tiếp xúc và gây mòn răng.

  • Thường sử dụng thuốc có nồng độ pH axit cao như viên vitamin C nhai, Aspirin nhai,...

  • Thói quen nhai vật cứng, cắn móng tay, dùng răng mở nút chai... có thể khiến mòn men răng.

  • Tình trạng khô miệng sẽ khiến nước bọt ít được tiết ra, axit bám trên bề mặt răng lâu hơn, làm tăng nguy cơ mòn răng.

  • Một số bệnh lý khác như thiểu sản men, rối loạn quá trình khoáng hoá, bệnh lý khớp cắn,...

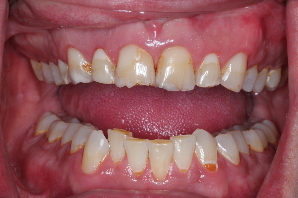
Dấu hiệu nhận biết răng bị mòn

Dưới đây là một số dầu hiệu răng bị mòn dễ nhận biết nhất:

  • Răng nhạy cảm, răng ê buốt khi ăn đồ nóng lạnh, chua, ngọt.

  • Màu răng chuyển sang hơi vàng vì lớp men răng mòn khiến ngà răng lộ ra.

  • Bề mặt răng bị sứt, mẻ, lỗ chỗ.

Mòn răng có ảnh hưởng như thế nào?

Men răng là lớp bảo vệ ngà răng và tủy răng. Khi lớp men bị mòn, ngà răng sẽ lộ ra ngoài và gây ra những hậu quả nghiêm trọng như sau:

  • Răng ố vàng, xỉn màu.

  • Răng nhạy cảm hơn, đặc biệt khi tiếp xúc với thực phẩm quá nóng/lạnh.

  • Làm giảm khả năng ăn nhai và nghiền nát thức ăn, dẫn đến cơ nhai hoạt động nhiều, về lâu dài sẽ tổn thương đến khớp hàm.

  • Ảnh hưởng đến sức khỏe răng miệng, khiến răng dễ gặp các vấn đề nha chu, đặc biệt là sâu răng.

Cách điều trị mòn răng hiệu quả

Trong trường hợp răng bị mòn ở mức độ nhẹ, răng chưa bị ảnh hưởng nhiều, chưa nhạy cảm thì không cần phải điều trị. Tuy nhiên, bạn có thể sử dụng kem đánh răng chứa flour và nước súc miệng để kiểm soát tình trạng này.

Đối với trường hợp mòn răng chuyển nặng, nha sĩ thưởng chỉ định điều trị bằng các phương pháp sau:

  • Trám răng để lấp bề mặt răng bị lõm khuyết. Miếng trám có thể bị bong tróc, đổi màu theo thời gian dài nên đây chỉ là giải pháp tạm thời khắc phục tình trạng mòn răng.

  • Dán miếng sứ là phương pháp hạn chế tình trạng mòn răng hiệu quả và có tính thẩm mỹ cao. Ngoài ra, miếng dán sứ còn giúp làm dài phần thân răng. Tuy nhiên, nếu răng lệch khớp cắn hoặc mọc lệch sẽ không thể dán miếng sứ được.

  • Bọc răng sứ là cách khắc phục tình trạng mòn răng một cách bền vững. Lớp răng sứ bọc bên ngoài răng sẽ giúp bảo vệ ngà răng và tủy răng, đồng thời vẫn hỗ trợ chức năng nhai của răng. Tuy nhiên, phương pháp này có chi phí cao hơn trám răng.

  • Điều trị tủy hoặc nhổ bỏ răng bị mòn trong trường hợp răng mòn ảnh hưởng sâu vào trong tủy.

Cách phòng ngừa mòn răng

Để hạn chế tối đa nguy cơ bị mòn răng, bạn có thể áp dụng các biện pháp sau:

  • Hạn chế ăn thực phẩm chứa nhiều đường và axit như kẹo, nước ngọt có gas,...

  • Sử dụng kem đánh răng và nước súc miệng chứa Fluor để củng cố men răng. Xem thêm các sản phẩm kem đánh răng Colgate giúp tái khoáng hóa men răng.

  • Uống ít nhất 2 lít nước mỗi ngày.

  • Nhai kẹo cao su để kích thích quá trình tiết nước bọt.

  • Đánh răng với lực vừa phải, hạn chế đánh răng quá nhiều lần trong ngày.

  • Dùng chỉ nha khoa thay vì tăm xỉa răng.

  • Kiểm tra răng miệng tại nha khoa, lấy cao răng định kỳ 6 tháng 1 lần.

Trên đây là những thông tin tổng hợp về nguyên nhân, cách điều trị và phòng ngừa tình trạng mòn răng. Hy vọng bạn đọc đã nắm được kiến thức hữu ích để bảo vệ răng miệng và luôn sở hữu nụ cười rạng rỡ.