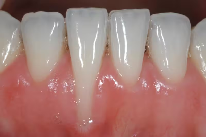
Tụt nướu răng là tình trạng mất mô nướu quanh chân răng, nướu bị tụt, co rút dẫn đến hở nướu và lộ chân răng ra ngoài. Nướu răng bị tụt sẽ gây ra tình trạng ê buốt răng, răng lung lay và thậm chí là rụng răng. Tụt nướu có thể xảy ra ở cả hàm trên và hàm dưới ở vị trí răng bất kỳ, răng bị tụt nướu dễ gặp nhất là ở hàm dưới và răng nanh.

Triệu chứng phổ biến nhất của tình trạng tụt nướu mà bạn có thể quan sát bằng mắt thường bao gồm:
Nướu bị co rút lại.
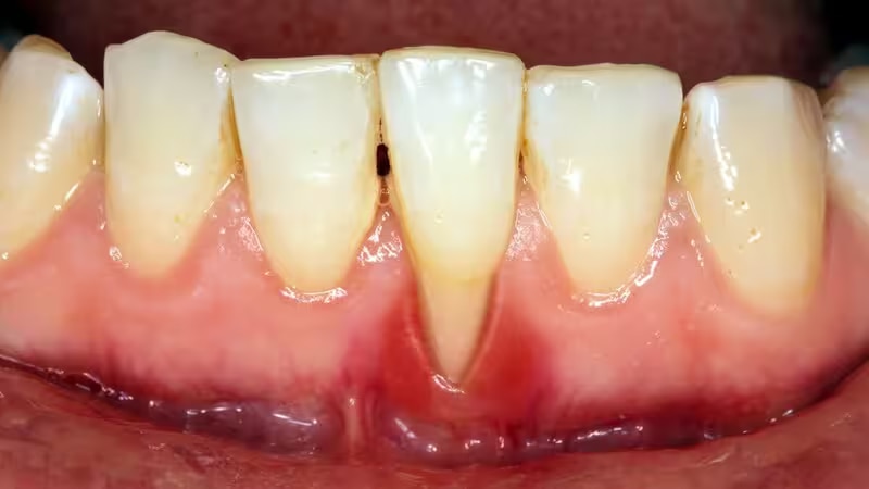
Chảy máu chân răng sau khi đánh răng hoặc sử dụng chỉ nha khoa.
Nướu sưng đỏ và đau quanh nướu.
Lộ chân răng khiến răng bị ê buốt.
Răng lung lay.
Trong khi hàm răng là điểm hấp dẫn nhất cho nụ cười của bạn, thì nướu (lợi) là bộ phận đóng vai trò quan trọng trong việc bảo vệ và giữ cho răng luôn chắc khỏe. Khi nướu bị tụt, vi khuẩn có thể tấn công vào đường viền nướu tạo thành túi nha chu, khiến chân răng bị lộ, dễ bị sâu răng, cuối cùng sẽ gây ra rụng răng.
Bệnh tụt nướu gây nhiều ảnh hưởng đến sức khỏe răng miệng và có thể dẫn đến những biến chứng như sau:
Răng hở kẽ gây nhét thức ăn, tạo điều kiện cho vụn thức ăn bám vào kẽ răng.
Tạo điều kiện thuận lợi cho vi khuẩn phát triển, gây nhiều bệnh lý răng miệng.
Ảnh hưởng trực tiếp đến tính thẩm mỹ của hàm răng, dáng răng dài trông xấu hơn.
Tụt nướu khiến cho chân răng không được bảo vệ dẫn đến tụt lợi chân răng, nướu mòn dần và chịu tổn thương từ các tác nhân xấu.
Tiêu xương ổ răng, răng yếu dần, mất răng vĩnh viễn...
Bệnh nhân bị tụt lợi răng rất dễ gặp phải cảm giác ê buốt răng gây trở ngại trong quá trình ăn nhai.
Viêm tủy răng.

Sức khỏe răng miệng kém: Khi vi khuẩn trong mảng bám tích tụ giữa nướu và răng, phần nướu bọc quanh răng có thể bị viêm. Nếu không được điều trị, tình trạng viêm này có thể dẫn tới hư hại nướu và cấu trúc xương nâng đỡ. Điều này có thể dẫn đến tình trạng tụt nướu và bệnh nha chu nghiêm trọng.
Chải răng hoặc dùng chỉ nha khoa quá mạnh: Chải răng quá kỹ có thể làm mòn men răng, gây tổn thương và tụt nướu. Để hạn chế tình trạng tụt nướu xảy ra, bạn nên chải răng nhẹ nhàng và không chà xát quá mạnh.
Gen di truyền: Đôi khi các vấn đề răng miệng một phần nằm ngoài tầm kiểm soát của chúng ta. Nếu bố hoặc mẹ của bạn bị tụt nướu, bạn có thể có nguy cơ bị tụt nướu cao hơn.
Vị trí răng lệch: Răng mọc không đều hoặc lệch khớp cắn có thể gây ma sát quá mức lên khu vực đó, khiến nướu bị tụt.
Nghiến răng và cắn chặt răng quá mức: Hay còn gọi là chứng nghiến răng, thói quen này có thể gây ra rất nhiều vấn đề nha khoa, bao gồm tình trạng tụt nướu. Giống như tình trạng răng mọc không đều, nghiến răng tạo lực tác động quá mức có thể gây mòn nướu răng của bạn.
Thay đổi hormone: Phụ nữ có thể trải qua một vài giai đoạn thay đổi hormone mạnh mẽ trong cuộc đời, như dậy thì, mang thai và mãn kinh. Không may là những giai đoạn tự nhiên này có thể khiến phụ nữ dễ mắc các bệnh nướu răng và tụt nướu.
Chấn thương mô nướu: Mô nướu có thể tụt khi bị chấn thương. Tình trạng tụt nướu có thể xảy ra tại vị trí bị tổn hại hoặc khu vực gần đó.
Sử dụng thuốc lá: Hút thuốc và sử dụng chất kích thích làm tăng nguy cơ tụt nướu do sự suy yếu của hệ thống miễn dịch và ức chế dòng chảy của tuyến nước bọt, dẫn đến hình thành nhiều mảng bám hơn.

Để điều trị tụt nướu, bạn hãy đến gặp chuyên gia nha khoa để xác định nguyên nhân và đánh giá tình trạng tụt nướu. Sau khi thực hiện đánh giá, họ sẽ tư vấn liệu trình điều trị phù hợp nhất với tình trạng của bạn.
Với tình trạng tụt nướu nhẹ khoảng 3-5mm và nướu vẫn bám vào răng, nha sĩ có thể điều trị phục hồi nướu răng. Nha sĩ sẽ thực hiện biện pháp làm sạch sâu nha khoa hay còn gọi là bào láng gốc răng và cạo vôi răng. Sau đó bác sĩ sẽ kê đơn gel ngậm fluor hoặc thuốc trị viêm nướu tạo môi trường cho nướu phát triển. Phương pháp này giúp làm sạch vi khuẩn trong các túi giữa nướu và răng, loại bỏ viêm nhiễm và giúp nướu có thể lành lại.
Nếu tình trạng tụt nướu răng đang diễn tiến nặng, chân răng bị lộ nhiều, ê buốt răng hoặc nướu viêm sưng đỏ, chuyên gia nha khoa có thể đề nghị phẫu thuật để phục hồi các mô nướu đã mất. Có 3 phương pháp phẫu thuật tụt nướu với ưu nhược điểm khác nhau, bao gồm:
Phẫu thuật vạt nướu có chân nuôi để khắc phục tụt nướu, gồm nhiều phương pháp phẫu thuật cắt lợi: vạt bán nguyệt, vạt nhú lợi kép, vạt xoay chếch, vạt trượt bên, vạt trượt về phía cổ răng,…
Phẫu thuật ghép nướu: Ghép nướu là quy trình phẫu thuật bao gồm việc lấy một lượng nhỏ mô từ một khu vực, chẳng hạn vòm miệng, sau đó ghép vào khu vực nướu cần thay thế.
Phẫu thuật vạt niêm mạc có đặt màng sinh học: Sử dụng màng sinh học có nguồn gốc tự nhiên hoặc tổng hợp để phục hồi mô nướu.

Thói quen chăm sóc răng miệng tốt sẽ phòng ngừa nguy cơ bị tụt nướu. Luôn sử dụng bàn chải đánh răng có lông mềm và kỹ thuật chải răng đúng cách để bảo vệ men và nướu răng. Điều này sẽ không khắc phục được tình trạng tụt nướu hiện tại, nhưng đây là một phần của quy trình vệ sinh răng miệng, có thể giúp giảm thiểu nguy cơ bệnh trở nặng thêm.
Dùng kết hợp chỉ nha khoa, nước súc miệng với việc đánh răng đều đặn sẽ giúp bạn loại bỏ mảnh vụn thức ăn khỏi các kẽ răng tốt hơn. Đặc biệt là những bạn bị tụt nướu thì đánh răng rất khó làm sạch toàn bộ. Bỏ hút thuốc, hoặc sử dụng máng bảo vệ răng vào ban đêm để tránh tình trạng nghiến răng khi ngủ.
Nếu tụt nướu xảy ra do vị trị răng bất thường như răng mọc lệch hoặc lệch khớp cắn, hãy trao đổi với chuyên gia nha khoa về hướng điều trị ban đầu để giúp làm chậm hoặc thậm chí chấm dứt tình trạng tụt nướu. Nếu răng bạn bị mọc lệch, chỉnh nha có thể là giải pháp phù hợp với bạn.
Tình trạng tụt nướu có thể xảy ra mà không hề có bất kỳ triệu chứng nào, vì vậy khám răng định kỳ là việc hết sức quan trọng mà bạn không nên bỏ qua. Nha sĩ hoặc chuyên gia vệ sinh nha khoa sẽ nhận ra những dấu hiệu ban đầu của bệnh và chỉ định phương pháp điều trị phù hợp.
Sử dụng nước súc miệng sát khuẩn thảo mộc: Nước súc miệng có chứa các thành phần chiết xuất từ cây đinh hương, húng quế và dầu của cây trà giúp chống lại các mảng bám và chống viêm nướu rất tốt. Chẳng hạn như sản phẩm nước súc miệng Colgate Plax Herbal Detox chứa 5 loại tinh dầu thảo mộc thiên nhiên.
Sử dụng các loại dầu thực vật để súc miệng: Bạn có thể sử dụng các loại dầu thực vật như dầu dừa, dầu hướng dương,... súc miệng trong vòng 5-20 phút để loại bỏ vi khuẩn gây hại cho nướu. Lưu ý: cần súc miệng kỹ bằng nước ấm và đánh răng bình thường sau khi súc bằng dầu.
Bổ sung các chất chống oxy hóa và axit béo Omega 3: Axit béo omega- 3 là chất béo không bão hòa được tìm thấy trong các loại thực phẩm: Cá, quả hạch, hạt.... Để làm giảm viêm nướu, tăng mô nướu liên kết với răng.
Hiện nay với công nghệ hiện đại, có rất nhiều cách để điều trị tụt nướu hiệu quả tùy thuộc vào nguyên nhân gây ra tình trạng này. Hãy duy trì thói quen chăm sóc răng miệng đúng cách và thăm khám nha khoa định kỳ 6 tháng/lần để hạn chế tình trạng tụt nướu có thể xảy ra.