Răng bị mẻ có trám được không?
Badge field

Nguyên nhân gây mẻ răng? Răng mẻ nên trám hay bọc sứ? Cách phục hình

Published date field
Published date field Cập nhật mới nhất:

Được Colgate Global Scientific Communications đánh giá về mặt y khoa

 

Mẻ răng, đặc biệt răng cửa bị mẻ không chỉ khiến nụ cười của bạn kém tự tin mà còn gây ra nhiều phiền toái trong ăn uống và ảnh hưởng sức khỏe răng miệng. Vậy răng bị mẻ phải làm sao? Làm thế nào để phục hồi? Cùng Colgate tìm hiểu ngay cách điều trị răng mẻ trong bài viết sau đây.

*Bài viết đã được Colgate Global Scientific Communications đánh giá về mặt y tế.

Răng bị mẻ là răng như thế nào?

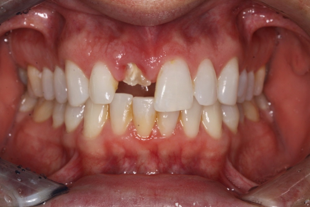
Răng bị mẻ là tình trạng răng bị mất một phần trong cấu trúc răng, như men răng, thân răng thậm chí có thể bị mẻ cả phần chân răng. Thông thường, răng mẻ hay xảy ra ở cạnh cắn của răng cửa hoặc răng hàm.

Khi mẻ răng, phần men răng xung quanh vết mẻ sẽ đổi màu và trở nên nhạy cảm với sự thay đổi nhiệt độ. Bạn cũng có thể cảm thấy đau ở vị trí răng mẻ, nứt, gãy, cho dù ngà hay tủy răng có bị lộ ra ngoài hay không.

 

mẻ răng là một phần trong cấu trúc răng bị mất

 

Nguyên nhân dẫn đến mẻ răng

Răng tự nhiên bị mẻ có thể do:

  • Răng bị mài mòn do tiếp xúc với hóa chất, thực phẩm có tính axit cao, đánh răng quá mạnh, sử dụng bàn chải đánh răng lông cứng, sử dụng kem đánh răng chứa chất mài mòn, thường xuyên nhai thức ăn cứng, tuổi cao. Lâu dần, men răng yếu, dẫn đến mẻ răng.

  • Răng cửa bị mẻ do va đập mạnh, té ngã vào phần cứng, tai nạn hoặc chấn thương trong thể thao, cắn bút chì quá mạnh.

  • Sức khỏe răng miệng không được tốt: Các vấn đề về răng miệng như sâu răng hoặc mất lớp trám răng, men răng, vi khuẩn gây viêm nướu, hoặc viêm tủy răng có thể làm giảm độ bền của răng và làm tăng nguy cơ bị mẻ.

  • Vấn đề về sức khỏe: Nghiện rượu hoặc bị rối loạn ăn uống dễ gây nôn và tăng axit trong miệng từ đó dễ làm mẻ răng.  Ngoài ra, ợ nóng và trào ngược dạ dày thực quản làm cho axit từ dạ dày trào ngược lên miệng và gây ảnh hưởng men răng. Với những người bị thiếu canxi bẩm sinh hoặc thiếu canxi bệnh lý làm răng yếu đi và dễ bị tổn thương hơn người bình thường.

Sau khi xác định nguyên nhân mẻ răng là gì, bạn cần đến gặp nha sĩ kịp thời. Tùy thuộc vào mức độ nghiêm trọng của chiếc răng bị mẻ, sứt hoặc gãy mà có phương án điều trị phù hợp.

Tìm hiểu thêm về:

 

răng cửa bị mẻ do va đập mạnh

 

Các trường hợp mẻ răng thường gặp

1. Mẻ răng cửa

Răng cửa bị mẻ là trường hợp tổn thương gặp phổ biến nhất ở cả người lớn và trẻ em. Răng cửa nằm ở vị trí mặt tiền nên có nguy cơ bị sứt mẻ do té ngã, chấn thương thể thao hoặc tai nạn cao nhất.

2. Mẻ chân răng

Tình trạng răng bị mẻ ở chân răng, khuyết hoặc gãy ngang cổ răng do các bệnh sâu răng, viêm tủy răng hoặc mòn cổ chân răng,... gây ra.

3. Răng hàm bị mẻ

Mẻ răng hàm là một tình trạng khi một răng trong hàm bị mẻ hoặc vỡ do tai nạn hoặc nhai cắn vật quá cứng,... Mẻ răng hàm có thể gây đau, nhạy cảm, răng sưng và khó chịu khi nhai hoặc tiếp xúc với thức ăn nóng, lạnh hoặc ngọt. 

4. Mẻ nhiều răng

Mẻ nhiều răng, còn được gọi là mẻ răng đa năng (multiple dental fractures), là một tình trạng nhiều răng bị mẻ hoặc vỡ cùng một lúc. Thường thì mẻ nhiều răng xảy ra sau một sự va chạm mạnh hoặc chấn thương lớn ở vùng răng miệng.

 

Răng bị mẻ do tác động lực mạnh, men răng yếu, bị sâu răng

Răng bị mẻ gây ảnh hưởng gì đến sức khỏe?

Răng bị mẻ sẽ xảy ra một số nguy cơ ảnh hưởng đến sức khỏe răng miệng như sau:

  • Một chiếc răng bị mẻ, sứt hoặc gãy có thể xuất hiện vết nứt nhỏ ở bên ngoài men răng hoặc vỡ một phần men răng, khiến ngà răng và tủy răng bị lộ ra ngoài. Theo Đại học Y Harvard, khi ngà răng hoặc tủy răng tiếp xúc với không khí, người bị mẻ răng sẽ cảm thấy răng ê buốt, đau nhói và khó chịu liên tục, nhất là khi ăn đồ lạnh hoặc chua. 

  • Tủy răng bị tổn thương gây ra cảm giác ê buốt, đau nhức dữ dội. Nếu để kéo dài tình trạng mẻ răng và không điều trị phục hồi thì nguy cơ chết tủy - mất hoàn toàn các dây thần kinh là rất cao.

  • Mẻ chân răng nếu không điều trị kịp thời sẽ dẫn đến mất chân răng và chi phí điều trị sẽ cao hơn gấp 3-4 lần so với phí phục hồi mẻ răng thông thường.

  • Răng mẻ sẽ ảnh hưởng đến thẩm mỹ và khả năng ăn nhai.

Hơn nữa, răng mẻ tạo điều kiện cho vi khuẩn ăn mòn gây sâu răng, viêm tủy răng, viêm nha chu… khiến bạn cảm thấy đau đớn hơn rất nhiều.

 

Răng bị mẻ gây ảnh hưởng đến sức khỏe

 

Cách xử lý, phục hồi răng bị mẻ tại nhà

Khi bị mẻ răng, ngà răng và tủy răng có thể bị lộ ra ngoài dẫn đến các vi khuẩn có thể xâm nhập gây tổn thương và nhiễm trùng răng. Do đó bạn nên sử dụng nước muối sinh lý hoặc nước muối pha loãng để làm sạch gờ răng, tránh các tổn thương nghiêm trọng. Sau khi đã làm sạch, bạn nên cắn lại bằng một cục bông mới.

Dưới đây là các bước sơ cứu cần thực hiện ngay nếu bị mẻ, sứt hoặc gãy răng:

  • Bước 1: Tập hợp các mảnh răng bị mẻ, nứt hoặc gãy và đặt những mảnh răng này trong một hộp khô, sạch để vận chuyển đến nha sĩ.

  • Bước 2: Vệ sinh răng bằng nước muối sinh lý hoặc nước muối pha loãng để loại bỏ bụi bẩn và những mảnh vụn còn sót lại.

  • Bước 3: Hãy đặt một túi đá lạnh hoặc khăn lạnh lên trên khu vực vết thương để ngăn ngừa vết thương trở nên sưng tấy.

  • Bước 4: Gọi cho nha sĩ để sắp xếp lịch hẹn khám. Nếu bạn thấy ngà răng chuyển sang màu vàng hoặc màu đỏ, tủy răng bị lộ ra ngoài, hãy đến gặp nha sĩ ngay lập tức. 

Ngoài ra, nếu sau khi bị va đập mạnh, hàm trên và hàm dưới của bạn không khít lại với nhau khi ngậm miệng, hãy đến phòng cấp cứu ngay lập tức. 

Đại học Y Harvard cũng khuyến cáo nên tránh các loại thực phẩm cứng và che các cạnh sắc nhọn, phần còn lại của răng bằng sáp nha khoa hoặc kẹo cao su để bảo vệ nướu.

Tìm hiểu thêm về:

Cách điều trị răng bị mẻ, gãy

Răng bị mẻ hoàn toàn có thể khắc phục bằng các kỹ thuật phục hồi được thực hiện tại phòng khám nha khoa hiện đại. Phương pháp điều trị hợp lý cho một chiếc răng bị mẻ, nứt hoặc gãy phụ thuộc vào mức độ nghiêm trọng của vết thương. 

Các phương pháp điều trị mẻ răng cụ thể như sau:

Hàn răng

Trám răng khôi phục răng bị mẻ bằng nhựa composite chuyên dụng trong nha khoa để lấp đầy phần răng bị mẻ, trả lại hình dáng tương đương như ban đầu. Tuy nhiên, phương pháp hàn răng có tuổi thọ ngắn, khoảng 1-3 năm cần phải kiểm tra và thay lại.

Dán sứ Veneer

Nha sĩ sử dụng một miếng dán sứ Veneer để đắp vào phần răng bị mẻ, tuổi thọ của dán sứ khá cao, lên đến 30 năm, phù hợp với răng cửa bị mẻ hơn so với các răng khác.

Bọc răng sứ

Nếu răng của bạn mẻ sứt hoặc gãy thì nên bọc răng sứ sẽ giúp bạn cố định được hàm mà không bị lệch, cải thiện thẩm mỹ cho hàm răng.

 

răng cửa bị mẻ do va đập mạnh

 

Cách chăm sóc, phục hồi răng bị mẻ

Để nhanh chóng phục hồi răng bị mẻ, bạn cần lưu ý một số vấn đề sau:

  • Vệ sinh răng đúng cách: Đánh răng ít nhất 2 lần/ngày với bàn chải lông mềm, sử dụng chỉ nha khoa để loại bỏ mảng bám, vụn thức ăn mà bàn chải không tiếp cận được.

  • Những loại thực phẩm có lượng đường cao ảnh hưởng xấu đến men răng, vậy nên cần hạn chế ăn thực phẩm ngọt.

  • Không ăn thực phẩm có tính axit cao để hạn chế men răng bị mài mòn.

  • Ăn nhiều rau xanh giúp làm sạch răng miệng.

  • Không cắn vật cứng, để tránh làm tổn thương răng.

 

Cách chăm sóc, phục hồi răng bị mẻ

 

Câu hỏi thường gặp khi răng bị mẻ

Răng bị mẻ có tự lành?

Câu trả lời là không. Vì vậy, bạn nên tìm cách khắc phục sớm tình trạng này để tránh ảnh hưởng đến cuộc sống.

Bị mẻ răng có điềm gì?

Trong nhân tướng học, mẻ răng là tín hiệu xấu, thông báo điềm không lành sẽ xảy đến trong tương lai, ví dụ như mất lộc, hao tài, mất tiền, sức khỏe suy yếu.

Răng bị mẻ để lâu có sao không?

Tình trạng răng bị mẻ diễn ra trong thời gian dài có thể ảnh hưởng nghiêm trọng đến sức khỏe răng miệng, gây ra một số vấn đề như: sâu răng, hôi miệng, chảy máu chân răng, bệnh nha chu,... Nặng hơn có thể dẫn đến rụng răng, viêm nướu.

Răng bị mẻ hoàn toàn có thể được khôi phục lại chức năng nhai và thẩm mỹ nếu chỉ mất một mảnh răng nhỏ. Nếu bạn đang cố gắng chăm sóc một chiếc răng đã được khôi phục thẩm mỹ, hãy thường xuyên dùng chỉ nha khoa và chải răng bằng kem đánh răng chứa chất fluoride giúp răng chắc khỏe và ngăn ngừa sâu răng.