Cao răng đen là gì?

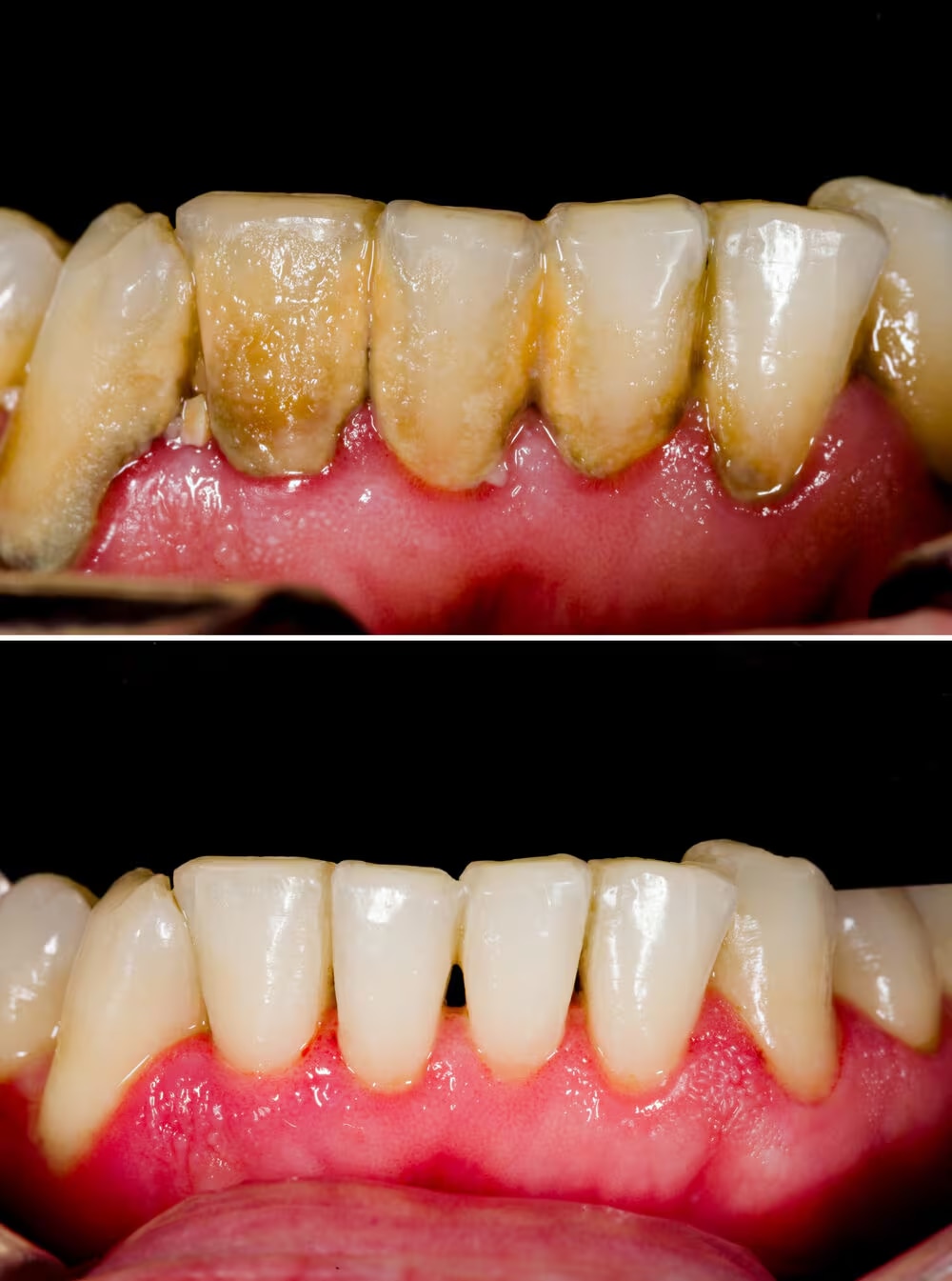
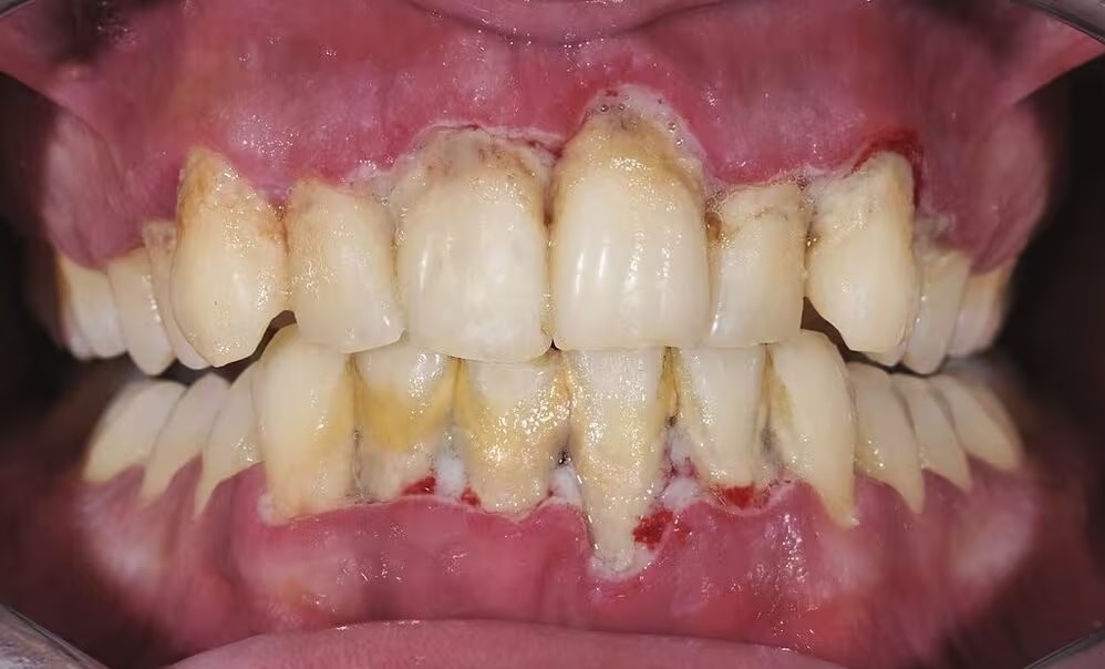
Cao răng đen là các mảng bám màu đen, nâu đen trên răng có nguồn gốc từ những mảng bám răng màu vàng thông thường. Sau thời gian dài bám trên răng, mảng bám dần chuyển sang màu xanh, nâu đen gây mất thẩm mỹ và thường rất khó loại bỏ.

Theo Hiệp hội Nha khoa Hoa Kỳ (ADA)mảng bám là hỗn hợp của nước bọt, vi khuẩn, vụn thức ăn và axit mà vi khuẩn tạo ra từ đường và tinh bột. Mảng bám và cao răng đen thường gây mất thẩm mỹ, có thể gây ra viêm nướuviêm nha chu và các bệnh lý về nướu.

Vệ sinh răng miệng đúng cách, chải răng và dùng chỉ nha khoa có thể giúp loại bỏ các mảng bám. Tuy nhiên, một số mảng bám cứng đầu nếu không được loại bỏ, theo thời gian sẽ trở nên cứng và hình thành cao răng. Trong trường hợp này, chỉ có nha sĩ sử dụng các dụng cụ nha khoa chuyên dụng mới có thể loại bỏ các cao răng cứng này.

 

Nguyên nhân khiến răng bị đen trên bề mặt

Dưới đây là những nguyên nhân khiến cao răng bị đen phổ biến nhất:

  • Chế độ ăn uống và lối sống: Sử dụng thức ăn, đồ uống chứa nhiều đường và axit có thể gây ảnh hưởng đến men răng, làm hình thành cao răng đen. Hút thuốc lá, sử dụng thực phẩm có màu đậm như cà phê, trà, nước ngọt mà không vệ sinh đúng cách là nguyên nhân gây ra tình trạng này.

  • Vệ sinh răng miệng không đúng cách: Các mảng bám do thức ăn hoặc vi khuẩn nếu không được vệ sinh sạch sẽ, lâu ngày sẽ hình thành cao răng và theo thời gian dài sẽ chuyển dần sang màu nâu hoặc đen.

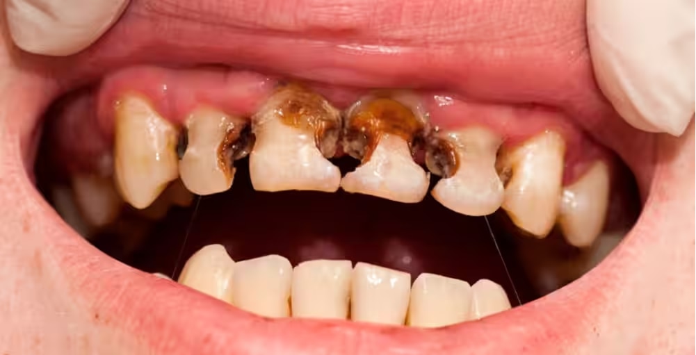
  • Sâu răng: Các đốm đen hình thành do bị sâu răng, lâu ngày không được loại bỏ sẽ tích tụ thành mảng bám đen trên răng.

  • Men răng yếu, sử dụng nhiều thuốc kháng sinh: Tình trạng men răng yếu ở một số người có thể ảnh hưởng đến răng. Sử dụng nhiều thuốc kháng sinh cũng sẽ tạo nên cao răng đen hoặc bề mặt răng bị lốm đốm.

Tại sao nên loại bỏ mảng bám đen trên răng?

Cao răng đen có thể dẫn đến nhiều bệnh lý về răng miệng nghiêm trọng như:

  • Gây ra mùi hôi miệng: Việc tích tụ vi khuẩn lâu ngày có thể dẫn đến chứng hôi miệng nghiêm trọng.

  • Viêm nha chu: Vi khuẩn không được loại bỏ thường xuyên có thể phá hủy và bào mòn men răng, ngà răng, gây hại cho nướu dẫn đến bị viêm nha chu.

  • Tụt nướu, mất răng: Cao răng đen có thể dẫn đến tình trạng nướu bị tụt, mất răng.

  • Bên cạnh những ảnh hưởng về sức khỏe, các mảng bám màu đen này còn gây mất thẩm mỹ, khiến bạn mất tự tin trong các cuộc nói chuyện hoặc cảm thấy khó chịu vì mùi hôi miệng.

 

Cách tẩy mảng bám đen trên răng đơn giản, hiệu quả tại nhà

Tùy thuộc vào mức độ nặng nhẹ, bạn có thể sử dụng các cách lấy mảng bám đen trên răng khác nhau. Dưới đây là một số gợi ý giúp bạn có thể loại bỏ các đốm đen trên răng hiệu quả, đơn giản, ngay tại nhà.

Làm sạch viền chân răng bị đen bằng chanh ngay tại nhà

Trong chanh chứa hoạt chất axit citric lớn, khi tiếp xúc với bề mặt men răng sẽ làm mềm các vôi răng, giúp loại bỏ các mảng bám dễ dàng. Các bước tẩy mảng bám đen trên răng bằng chanh ngay tại nhà như sau:

  • Chuẩn bị nước cốt chanh tươi.

  • Thấm nước cốt chanh lên bàn chải, chà đều lên bề mặt răng để dung dịch có thể thấm đều vào sâu các kẽ răng.

  • Súc miệng lại bằng nước ấm.

Lưu ý chỉ nên thực hiện phương pháp này 1 lần/tuần vì axit citric có tác động rất lớn đến men răng của bạn.

Tẩy đốm đen trên răng tại nhà bằng muối

Muối là một loại gia vị dễ tìm và có khả năng sát khuẩn tốt, hỗ trợ điều trị các mảng bám đen nhanh chóng, hiệu quả. Cách làm sạch cao răng đen tại nhà bằng muối như sau:

  • Cách 1: Sử dụng một ít muối tinh rải đều lên bề mặt bàn chải và đánh đều trên bề mặt răng bị đen.

  • Cách 2: Hòa một ít muối và nước cốt chanh tạo thành dung dịch nước súc miệng để làm sạch mảng bám trên răng.

Với cách làm trên, bạn sẽ thấy tác dụng rõ rệt sau 2 - 3 tuần thực hiện, răng sẽ trắng sáng và sạch sẽ hơn.

Dùng baking soda để đánh bay mảng bám đen trên răng

Baking soda chứa các hợp chất làm mềm cao răng, tạo ra môi trường kiềm hạn chế sự sinh trưởng của các vi khuẩn có hại, giúp điều trị cao răng đen hiệu quả. Cách tẩy trắng mảng bám bằng baking soda đơn giản như sau:

  • Cách 1: Sử dụng bàn chải chấm lượng ít bột baking soda và chải đều lên bề mặt răng có mảng bám đen trong 1 phút.

  • Cách 2: Hòa bột baking soda cùng một ít nước cốt chanh tạo thành dung dịch vệ sinh. Sau đó, đánh đều hỗn hợp này lên các kẽ răng và bề mặt.

Lưu ý: Tương tự nước cốt chanh, chỉ nên thực hiện phương pháp lấy cao răng  này 1 lần/tuần để tránh ảnh hưởng xấu đến men răng của bạn.

Cách điều trị cao răng đen tại phòng khám nha khoa

Khi tình trạng cao răng đen ở mức độ nặng, rất khó có thể loại bỏ hoàn toàn những đốm đen bằng các phương pháp thông thường. Điều này đòi hỏi bạn phải đến gặp trực tiếp bác sĩ nha khoa để thực hiện:

  • Lấy cao răng: Các nha sĩ sẽ loại bỏ cao răng bằng dụng cụ cạo cao răng và dụng cụ siêu âm, gây ra những rung động vi mô làm vỡ phần vôi răng.

  • Đánh bóng bề mặt răng: Giúp hạn chế tích tụ vi khuẩn khó vệ sinh trên răng.

  • Thực hiện trám răng khi có vết đốm đen do sâu răng.

Sau khi làm sạch các mảng bám trên răng, bạn nên súc miệng bằng nước muối sinh lý 2 lần/ngày trong 1 tuần để làm sạch vi khuẩn.

Cách phòng ngừa mảng bám gây đen răng

Bạn có thể ngăn ngừa mảng bám và cao răng đen hình thành bằng cách:

  • Dùng chỉ nha khoa hàng ngày và chải răng hai lần một ngày với kem đánh răng Colgate®.

  • Khám răng định kỳ 6 tháng một lần để kiểm tra, làm sạch cao răng và kiểm soát sự tích tụ của cao răng.

  • Ngừng hút thuốc lá.

  • Hạn chế sử dụng các thực phẩm, đồ uống có màu đậm.

  • Nên uống nhiều nước lọc, ăn rau xanh, trái cây giòn giúp phòng ngừa mảng bám trên răng.

Trên đây là những thông tin chi tiết về vấn đề mảng bám trên răng. Hy vọng bạn đọc đã có những kiến thức bổ ích để giữ hàm răng luôn trắng sáng và khỏe mạnh. Tìm hiểu thêm về kiểm soát cao răng trong Cẩm nang Chăm sóc Sức khỏe Răng Miệng của Colgate.