Sâu răng là vấn đề nha khoa phổ biến có thể xuất hiện ở mọi độ tuổi. Nguyên nhân sâu răng chủ yếu là do vệ sinh răng miệng không kỹ càng dẫn đến tích tụ mảng bám, tạo điều kiện cho vi khuẩn phát triển. Vậy có những loại sâu răng nào? Cùng Colgate tìm hiểu chi tiết ngay trong bài viết sau.
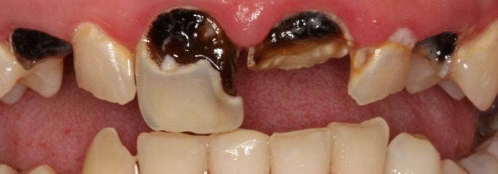
Phân loại sâu răng
Phân loại sâu răng theo mức độ
Theo các chuyên gia nha khoa, sâu răng được chia thành 3 loại dựa trên mức độ ảnh hưởng như sau:
Sâu răng độ 1 (mức độ nhẹ).
Sâu răng độ 2 (sâu răng ăn vào tủy).
Sâu răng độ 3 (tủy răng bị viêm nhiễm).
Phân loại sâu răng theo vị trí
Theo vị trí bị ảnh hưởng, sâu răng được phân thành 2 loại sau:
Sâu thân răng (răng bị sâu trên bề mặt hoặc các kẽ răng).
Sâu chân răng (răng bị sâu ở phần chân răng, dẫn đến tụt nướu).
Xem thêm:
Hàn răng sâu có đau không? Quy trình và chi phí
Sâu răng cửa có trám được không? Nguyên nhân, cách điều trị


