Sâu chân răng là nguyên nhân chính gây nên các bệnh lý về răng miệng như chân răng đen và làm hại men răng. Theo Bộ Y Tế, sâu chân răng không chỉ là vấn đề thường gặp ở trẻ nhỏ. Trên thực tế, hơn 80% người trưởng thành và người cao tuổi có thể bị sâu chân răng. Bài viết dưới đây Colgate sẽ giúp bạn đọc hiểu hơn về nguyên nhân và cách ngăn ngừa bị sâu hàm chân răng đơn giản và nhanh chóng.
>>Tham khảo thêm:
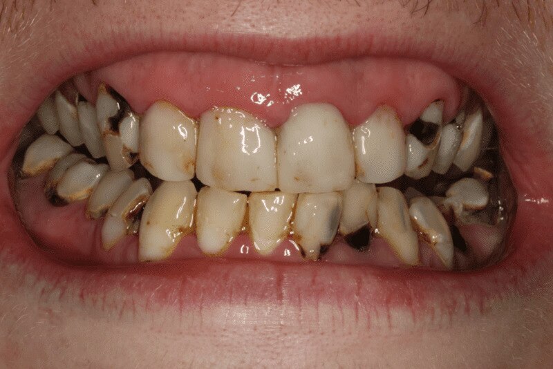
Sâu chân răng phát triển như thế nào?
Sâu chân răng là trường hợp axit ăn mòn ngà gốc răng, là lớp men răng bao phủ chân răng. Theo ADA, các lớp men bao quanh chân răng thường mỏng và mềm hơn so với lớp men ở các bộ phận khác của răng, vì thế rất dễ bị sâu răng. Theo cơ sở dữ liệu từ hệ thống Cochrane Database of Systematic Reviews (CDSR), sâu chân răng phát triển nhanh gấp đôi so với các loại sâu răng khác.
Dù sâu răng hình thành trên hàm chân răng hay trên một phần răng bị lộ ra, cách sâu răng phát triển là như nhau. Sâu răng hình thành là kết quả của axit do vi khuẩn trong miệng tạo ra. Theo Hiệp Hội Nha Khoa Hoa Kỳ (ADA) giải thích, các axit trong mảng bám phá hủy các khoáng chất bảo vệ men răng và sự ăn mòn này gây ra "các lỗ nhỏ đốm trắng" hoặc lỗ sâu trên răng, đây chính là giai đoạn đầu tiên của sâu răng.
Một yếu tố khác cũng góp phần khiến sâu chân răng phát triển là tụt nướu. Chân răng bị lộ ra ngoài khi nướu tụt khỏi răng. Hệ thống CDSR nhận định, chân răng chỉ có thể bị sâu nếu lộ ra ngoài do bệnh nha chu hoặc khi bị tụt nướu. Sâu răng thường phát triển ở bên dưới nướu hoặc ngay tại đường viền nướu.
>>Xem thêm: Nguyên nhân tụt lợi chân răng và cách điều trị hiệu quả


