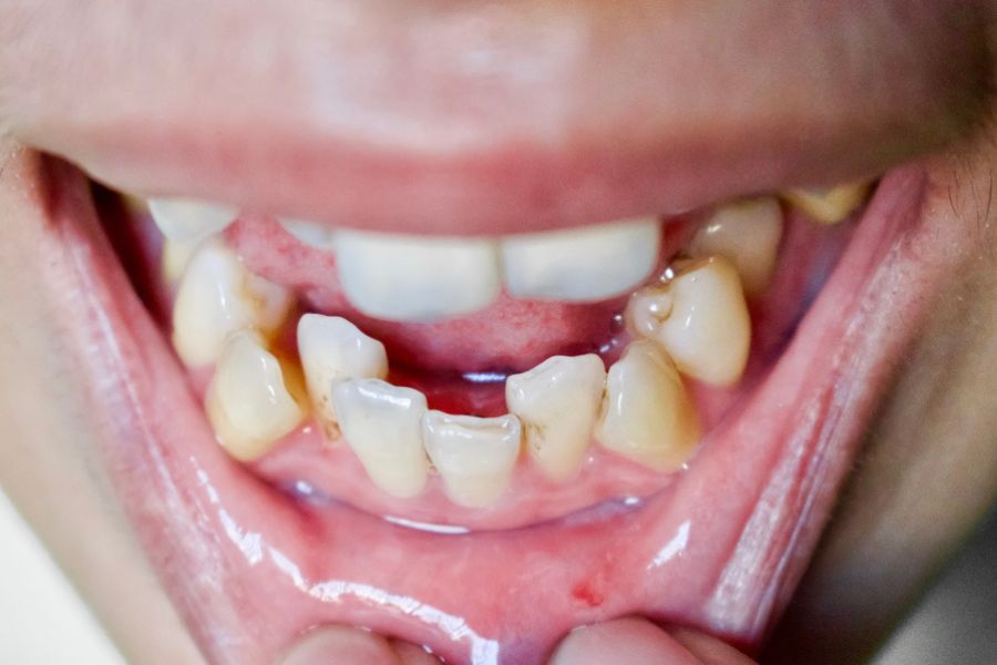
Sâu răng là tình trạng men răng hoặc bề mặt răng bị tổn thương do vi khuẩn trong miệng sản xuất axit và tấn công. Điều này tạo ra những lỗ trên răng, có thể dẫn đến rủi ro mất răng. Nếu không được chăm sóc, sâu răng có thể gây đau nhức, áp xe răng, nhiễm trùng, thậm chí dẫn đến tình trạng mất răng.
Nguyên nhân bị sâu răng là do sự tích tụ lâu ngày của các mảng bám trên bề mặt răng. Đây là nơi sinh sống và phát triển của các vi khuẩn gây hại cho răng. Những vi khuẩn này sẽ tiêu hóa đường và carb trong thức ăn và đồ uống mà bạn ăn, sau đó sản sinh ra axit phá hủy men răng. Theo thời gian, sẽ xuất hiện các lỗ hổng trên răng được gọi là sâu răng. Nếu không chữa trị kịp thời, sâu răng sẽ tiến triển sâu hơn vào cấu trúc bên trong răng, thậm chí có thể lan rộng đến ngà răng hoặc điều tệ hơn là xâm nhập đến tận tủy răng.
Trái với các cơ quan khác trong cơ thể, men răng không có khả năng tự phục hồi do không có tế bào sống. Theo Hiệp hội Nha khoa Hoa Kỳ, men răng không thể tự phục hồi sau khi bị sâu răng hoặc bị tổn thương. Đây cũng là lý do tại sao việc điều trị sâu răng không thể hoàn thành trong thời gian ngắn và ngay cả bạn làm sạch vùng bị sâu răng cũng không đủ để khắc phục tình trạng này mà cần sự can thiệp từ nha sĩ.
Có phải bất cứ ai cũng có có khả năng bị sâu răng như nhau không? Sau đây là một số yếu tố có thể làm tăng nguy cơ bị sâu răng mà các bạn cần biết:
Thiếu lượng fluoride.
Bị khô miệng hoặc không tiết đủ nước bọt. Vấn đề này có thể do bẩm sinh, bệnh lý hoặc tác động phụ của một số loại thuốc.
Trẻ em sơ sinh hoặc trẻ bú bình.
Người lớn tuổi có tình trạng mòn răng hoặc tụt nướu. Điều này dẫn đến chân răng bị lộ ra ngoài, tăng nguy cơ sâu răng ở bề mặt chân răng.

>>> Tìm hiểu thêm:
Hôi miệng do sâu răng và cách điều trị
Nguyên nhân gây sâu răng trẻ em và cách ngăn ngừa hiệu quả
Có con sâu răng tồn tại trong răng không?
Gừng và tỏi có khả năng kháng viêm, diệt khuẩn tốt nên thường được dùng để trị sâu răng. Cách thực hiện như sau:
Bước 1: Giã nát gừng và tỏi cùng một ít muối.
Bước 2: Dùng bông thấm dung dịch trực tiếp lên chỗ sâu răng.
Hoạt chất có trong gừng, tỏi sẽ giúp giảm đau do sâu răng và ức chế vi khuẩn sâu răng phát triển. Bạn nên kiên trì thực hiện trong một thời gian để thấy được hiệu quả.

>>> Xem thêm:
Các mức độ sâu răng và dấu hiệu sâu răng bạn cần chú ý
Sâu răng cửa: Nguyên nhân, dầu hiệu và cách chữa trị hiệu quả
Bạn nên làm gì khi răng khôn bị sâu?
Ngoài các công dụng như chống oxy hóa, làm đẹp da,... trà xanh còn có thể dùng để chữa trị sâu răng tại nhà hiệu quả. Các bước thực hiện như sau:
Bước 1: Rửa sạch lá trà xanh.
Bước 2: Vò lá trà xanh và cho vào nước sôi.
Bước 3: Chờ nước ấm rồi uống hoặc ngậm 3 - 5 phút để chữa sâu răng.
Bạn nên thực hiện sau bữa ăn 30 phút và đều đặn mỗi ngày để giảm tình trạng sưng đau khi bị sâu răng, giúp nướu săn chắc hơn.

Nước muối có tính sát trùng và kháng khuẩn tốt nên được xem là một trong những phương pháp giúp trị sâu răng hiệu quả và dễ thực hiện tại nhà. Dùng nước ấm pha loãng với muối để súc miệng từ 30 - 1 phút, thực hiện 2 - 3 lần/ngày để xoa dịu cơn đau răng và hạn chế viêm nhiễm.

Các bước trị sâu răng tại nhà bằng lá trầu không như sau:
Bước 1: Rửa sạch 2 - 3 lá trầu không rửa sạch rồi giã nhuyễn với một ít muối,.
Bước 2: Trộn thêm với một chén rượu trắng và để trong khoảng 10 phút để lắng cặn.
Bước 3: Lọc lấy phần nước trong phía trên để súc miệng.
Thực hiện 2 - 3 lần/ngày, mỗi lần cách nhau khoảng 15 phút để chữa sâu răng.

Hợp chất astringents trong lá ổi được biết đến có tính kháng khuẩn, chống viêm giúp giảm đau nhức khi bị sâu răng khá hiệu quả. Cách điều trị tình trạng sâu răng đau nhức, có lủng lỗ hiệu quả tại nhà bằng lá ổi như sau:
Bước 1: Rửa sạch 5 - 7 lá ổi và giã nhuyễn với nước muối ấm.
Bước 2: Dùng tăm bông thấm nước và thoa đều lên vùng sâu răng.
Ngoài ra, bạn cũng có thể đun sôi lá ổi với nước sôi để làm dung dịch súc miệng hàng ngày. Cả 2 cách này đều có tác dụng giảm đau nhức và ức chế sự phát triển của sâu răng.

Lá bàng chứa các hợp chất như Flavonoid, Saponin, Phytosterol và Tannin. Những chất này có tác dụng sát khuẩn, kháng viêm và có khả năng tiêu diệt một số loại vi khuẩn. Vì vậy, lá bàng thường được sử dụng để điều trị sâu răng, hỗ trợ làm sạch răng miệng và có lợi cho sức khỏe nướu. Các bước thực hiện đơn giản như sau:
Bước 1: Rửa sạch 3 - 5 lá bàng non.
Bước 2: Nhai trực tiếp hoặc xay nhuyễn với muối và nước lọc để súc miệng 2 lần/ngày.
Việc sử dụng lá bạc hà là một trong những cách trị sâu răng tại nhà đơn giản, tiết kiệm chi phí mà nhiều người tin dùng. Bạc hà không chỉ có đặc tính gây tê, giúp làm dịu cơn đau răng nhanh chóng mà còn có tác dụng kháng khuẩn mạnh.
Cách thực hiện đơn giản như sau:
Bước 1: Ngâm lá bạc hà trong nước sôi trong khoảng 20 phút để tinh dầu trong lá bạc hà được tiết ra.

Chườm đá lạnh là một mẹo đơn giản để giảm đau răng sâu một cách nhanh chóng và dễ thực hiện. Phương pháp này sẽ giúp làm tê liệt các dây thần kinh cảm giác, giảm đi cảm giác đau nhức răng khó chịu.
Để thực hiện, bạn chỉ cần chuẩn bị một túi chườm chứa đá hoặc nước lạnh. Nếu không có túi chườm, bạn cũng có thể sử dụng khăn bông sạch như một thay thế. Sau đó, đặt túi chườm hoặc khăn lạnh lên vùng má bên ngoài gần khu vực bị đau răng, giữ trong khoảng 20 phút.
Trên đây chỉ là cách trị sâu răng tạm thời. Khi phát hiện sâu răng, bạn vẫn nên đến gặp nha sĩ để chữa trị triệt để sâu răng nhằm hạn chế sự lây lan cho những răng khỏe mạnh bên cạnh cũng như giảm nguy cơ mắc các biến chứng nguy hiểm.
>>> Xem thêm: Phương pháp điều trị hôi miệng từ dạ dày
Có nhiều biện pháp chữa trị sâu răng. Tùy thuộc vào mức độ nghiêm trọng, tình trạng của biến chứng và mong muốn của người bệnh mà sẽ có cách trị sâu răng khác nhau. Dưới đây là một số cách chữa trị mà bác sĩ có thể tư vấn:
Điều trị bằng florua: Áp dụng ở giai đoạn mới phát hiện sâu răng. Florua được sử dụng để hỗ trợ quá trình tái tạo men răng và ngăn chặn sự tiến triển của vi khuẩn.
Trám răng (hay còn gọi là hàn răng): Khi sâu răng mới hình thành và lỗ sâu còn nhỏ, quá trình trám răng sẽ bao gồm việc loại bỏ mô răng bị sâu và sử dụng vật liệu trám chuyên dụng để phục hồi răng.
Nhổ răng: Trong các trường hợp nghiêm trọng, khi sâu răng không thể hồi phục, nhổ răng có thể là lựa chọn duy nhất. Sau khi nhổ răng, bạn có thể lựa chọn sử dụng cầu răng hoặc phương pháp trồng răng implant để thay thế. Nếu không, các răng bên cạnh có thể di chuyển và làm thay đổi khớp cắn của bạn.
Chữa tủy răng: Khi tình trạng sâu răng trở nên nặng hơn, gây áp xe răng hoặc nhiễm trùng, việc lấy tủy răng là điều cần thiết. Nha sĩ sẽ tiến hành loại bỏ phần tủy răng bị sâu, làm sạch bên trong răng trước khi trám hoặc bọc sứ để bảo vệ răng.

Sâu răng không thể tự khỏi mà sẽ tiếp tục phát triển và gây ra một số biến chứng ảnh hưởng trực tiếp đến chất lượng cuộc sống của bạn. Khi tình trạng sâu răng trở nên nghiêm trọng hơn, bạn có thể cảm thấy răng đau nhức dữ dội hoặc răng trở nên nhạy cảm hơn.
Kéo dài thời gian chữa trị sâu răng có thể khiến bạn đối mặt với áp xe răng - một dạng nhiễm trùng nguy hiểm xảy ra khi vi khuẩn xâm nhập vào tủy răng. Áp xe răng nếu không được chữa trị sớm có thể gây nhiễm trùng và tiêu xương hàm hoặc nặng nhất là tạo nang xương hàm, gây biến dạng mặt.
Kéo dài thời gian chữa trị sâu răng không chỉ làm tăng nguy cơ lây lan sang những răng bên cạnh mà còn có thể gây ra một số biến chứng nghiêm trọng như: Viêm nướu, viêm nha chu, vỡ răng, tiêu xương quanh chân răng, mất chức năng ăn nhai và xô lệch, hoặc trồi các răng lân cận.

Nếu không chữa trị sâu răng từ sớm, chi phí điều trị sẽ trở nên tốn kém hơn rất nhiều. Những phương pháp trám răng sâu đơn giản, thực hiện nhanh chóng và chi phí chỉ dao động từ 100.000 - 300.000 VNĐ. Những phương pháp chữa trị răng sâu nghiêm trọng như lấy tủy răng hay nhổ răng thường tốn nhiều thời gian để thực hiện và giá cả thường giao động từ 600.000 VNĐ cho đến vài triệu đồng.
Chính vì vậy, khi phát hiện sâu răng bạn không nên chỉ phụ thuộc vào các phương pháp điều trị sâu răng dân gian mà nên đến gặp nha sĩ càng sớm càng tốt để có thể hạn chế tối đa những hậu quả phát sinh.
Các phương pháp chữa sâu răng tại nhà có khả năng làm giảm cơn đau tức thời nhưng không thể điều trị dứt điểm. Do đó, bạn không nên quá lạm dụng để tránh thực hiện sai cách dẫn đến ảnh hưởng xấu tới sức khỏe răng miệng.
Sâu răng không thể tự khỏi tại nhà. Do đó, bạn cần đến nha khoa hoặc bệnh viện để được điều trị kịp thời. Đồng thời, thực hiện chăm sóc răng miệng khoa học theo hướng dẫn sau:
Đánh răng ít nhất 2 lần/ngày.
Sử dụng kem đánh răng chứa Fluoride với nồng độ vừa phải, tránh tổn thương men răng.
Dùng chỉ nha khoa và nước súc miệng diệt khuẩn để vệ sinh khoang miệng sạch sẽ.
Hạn chế ăn đồ ăn, thức uống chứa nhiều đường.
Bổ sung thực phẩm tốt cho sức khỏe răng miệng như rau xanh, trái cây tươi…
Kiểm tra và cạo vôi răng định kỳ 6 tháng/lần để bác sĩ phát hiện vấn đề bất thường của răng miệng kịp thời.
Các bài báo của Trung tâm Chăm sóc Răng miệng Colgate được xem xét bởi một chuyên gia y tế về sức khỏe răng miệng. Thông tin này chỉ dành cho mục đích giáo dục, không nhằm mục đích thay thế cho lời khuyên, chẩn đoán hoặc điều trị y tế chuyên nghiệp. Hãy luôn tìm kiếm lời khuyên của nha sĩ, bác sĩ hoặc nhà cung cấp dịch vụ chăm sóc sức khỏe đủ tiêu chuẩn khác.