Nguyên nhân và cách chữa trị răng cửa bị sâu
Badge field

Sâu răng cửa: Nguyên nhân, dầu hiệu và cách chữa trị hiệu quả

Published date field

Sâu răng cửa là một bệnh lý răng miệng gây mất thẩm mỹ mỗi khi cười cũng như phiền toái trong ăn uống và ảnh hưởng sức khỏe răng miệng. Điều bạn cần làm là tìm ra nguyên nhân và cách khắc phục răng cửa bị sâu. Cùng Colgate tìm hiểu ngay trong bài viết sau đây.

*Bài viết đã được Colgate Global Scientific Communications đánh giá về mặt y tế.

Sâu răng cửa là gì?

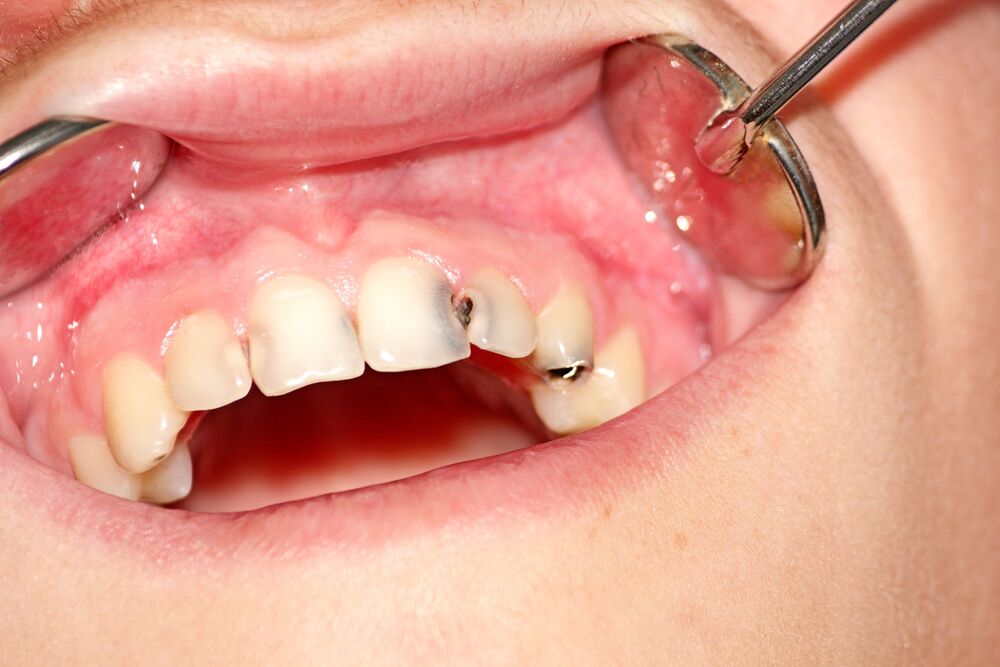
Sâu răng cửa là tình trạng vi khuẩn ăn mòn lớp men răng cửa, sau đó phá hủy cấu trúc răng làm răng xuất hiện những lỗ nhỏ li ti màu đen trên bề mặt. Sâu răng cửa dễ phát hiện hơn vì nó nằm bên ngoài, bạn có thể dễ dàng thấy khi soi gương.

Sâu răng cửa thường hình thành ở kẽ răng và chân răng. Đây là những khu vực thường có các rãnh có vụn thức ăn bị mắc kẹt và tạo mảng bám.

 

Sâu răng cửa là tình trạng vi khuẩn ăn mòn lớp men răng cửa

 

Nguyên nhân khiến răng cửa bị sâu

Tình trạng sâu răng cửa có thể xuất phát từ một số nguyên nhân sau:

  • Sử dụng đồ uống có đường vào ban đêm hoặc suốt cả ngày. 

  • Vệ sinh răng miệng không đúng cách: Không vệ sinh răng miệng hằng ngày, không dùng chỉ nha khoa,... làm cho các mảng bám tích tụ, tạo điều kiện cho vi khuẩn phát triển và phá hủy răng.

  • Không khám nha khoa định kỳ 6 tháng/lần: Nếu đi khám răng định kỳ, bạn có thể phát hiện nguy cơ sâu răng sớm để điều trị kịp thời.

  • Mắc các bệnh lý liên quan về răng miệng như khô miệng, tụt nướu, rối loạn tiêu hóa, răng bị mẻ.

Hiệp hội Nha khoa Hoa Kỳ (ADA) đã đưa ra nhận định rằng sâu răng đặc biệt phổ biến ở trẻ em, tuy nhiên mọi người ở mọi lứa tuổi đều có thể bị sâu răng. Do đó, bạn cần tìm hiểu ra nguyên nhân bị sâu răng cửa và tìm hướng khắc phục.

 

răng cửa bị sâu có thể xuất phát từ nhiều nguyên nhân

 

Dấu hiệu và triệu chứng cho thấy răng cửa bị sâu

Sâu răng cửa có các triệu chứng và dấu hiệu khác nhau tùy thuộc vào mức độ nặng hay nhẹ, độ lớn của khoang sâu càng lớn thì triệu chứng xuất hiện càng tệ hơn. Một số triệu chứng sâu răng cửa như sau:

  • Đau nhức ở vùng răng cửa.

  • Kẽ răng xuất hiện đốm nâu.

  • Răng bị nhạy cảm với đồ ăn lạnh hoặc cứng.

  • Xuất hiện các lỗ nhỏ li ti trên bề mặt răng.

  • Răng bị ố vàng, ngả màu đen hoặc nâu trên răng cửa.

Nếu xuất hiện các triệu chứng và dấu hiệu trên đây, bạn cần gặp bác sĩ để thăm khám và điều trị dứt điểm.

 

Răng cửa bị sâu thường có những đốm đen

 

Ảnh hưởng khi răng cửa bị sâu

Nếu không được chữa trị kịp thời, tình trạng sâu răng cửa có thể ảnh hưởng đến:

  • Thẩm mỹ: Phần răng cửa bị sâu, có những lốm đốm đen khiến bạn ngại giao tiếp bởi vì khi nói, răng cửa là phần lộ ra ngoài đầu tiên.

  • Gây hôi miệng: Tình trạng hơi thở có mùi hôi khó chịu do sự tích tụ của vi khuẩn ơr răng sâu.

  • Ảnh hưởng sức khỏe răng miệng: Răng bị sâu có thể là nguyên nhân gây ra các vấn đề răng miệng khác như áp xe răng, nhiễm trùng tủy,...

  • Phá hủy men răng: Trong thời gian dài, sâu răng có thể khiến men răng bị phá hủy hoàn toàn, phần thân răng bị vi khuẩn tích tụ gặm nhấm, chỉ còn lại phần chân răng dính trong nướu. Lâu dần, vi khuẩn có thể xâm lấn đến chân răng, mô nướu xương ổ răng, các tổ chức nâng đỡ răng, gây lung lay, rụng răng.

  • Ảnh hưởng đến sức khỏe của cơ thể: Khi răng cửa bị sâu, các bộ phận khác trong cơ thể như hô hấp, tiêu hóa cũng bị ảnh hưởng do sự liên kết của chúng. Trường hợp sâu răng dẫn đến viêm nhiễm, có thể gây tăng nguy cơ mắc các bệnh liên quan đến tim mạch, tiểu đường,...

     

Sâu răng cửa có thể dẫn đến hôi miệng
 
 

Bị sâu răng cửa phải làm sao? Cách khắc phục nhanh nhất

Điều quan trọng khi bị sâu răng cửa là tìm cách điều trị sâu răng càng sớm càng tốt trước khi tình trạng trở nên nghiêm trọng hơn. Bởi vì sâu kẽ răng cửa có thể lây lan sâu răng sang nhiều răng khác.

Khi bị sâu răng, bạn cần đến nha sĩ để thăm khám và điều trị kịp thời. Trong quá trình chờ đợi thăm khám nha khoa, bạn có thể đánh răng bằng nước ấm để dịu cơn đau, sử dụng kem đánh răng dành cho răng nhạy cảm và tránh đồ uống/thực phẩm nóng lạnh và cứng.

Dưới đây là một số cách khắc phục răng cửa bị sâu được thực hiện tại nha khoa:

1. Trám răng cửa bị sâu

Nha sĩ sẽ loại bỏ phần bị sâu của răng và trám răng sâu bằng vật liệu phục hồi bền chắc. Để cho răng trông giống như thật, khi trám răng nha sĩ sẽ sử dụng màu khớp với màu tự nhiên của răng. Những vật liệu trám này có thể được làm từ các vật liệu như amalgam hoặc nhựa composite, theo Johns Hopkins Medicine. Quá trình trám răng thường được thực hiện nhanh chóng trong một lần khám.

2. Bọc răng sứ

Răng cửa bị sâu phần lớn sẽ khiến cấu trúc răng bị lệch, ảnh hưởng về thẩm mỹ nên các bác sĩ nha khoa sẽ khuyến nghị bạn nên điều trị sâu răng bằng cách gắn mão răng. Đây là một phương pháp phục hình răng với màu khớp với màu tự nhiên của răng, được sử dụng cho răng sâu hoặc một mặt dán veneer, một mảnh sứ mỏng được gắn vào bề mặt trước của răng. 

Johns Hopkins Medicine giải thích rằng các phương án này có thể cần đến hai lần khám răng trở lên và chúng cũng có thể được thiết kế để phù hợp với màu răng tự nhiên của bệnh nhân. Nha sĩ sẽ giúp bạn xác định cách điều trị tốt nhất cho tình trạng sâu răng của mình.

3. Lấy tủy răng cửa

Bị sâu răng cửa nặng có thể khiến cho tủy răng bị chết. Do đó, nha sĩ phải tiến hành lấy tủy răng chết ra ngoài, lấp đầy ống tủy và gắn mão răng lại.

 

cách khắc phục răng cửa bị sâu
 

Trám răng cửa bị sâu giá bao nhiêu?

“Trám răng cửa bị sâu giá bao nhiêu?” là thắc mắc của rất nhiều người hiện nay. Mức giá trám răng cửa bị sâu dao động động từ 75.000 - 400.000 đồng/chiếc tùy vào mức độ sâu của răng. Ngoài ra, các yếu tố như công nghệ, độ uy tín của phòng khám, vật liệu trám răng, tay nghề của bác sĩ,... cũng ảnh hưởng đến chi phí trám, hàn răng sâu.

Để biết mức giá chính xác theo tình hình thực tế, bạn có thể liên hệ trực tiếp đến phòng khám nhé!

Cách chữa sâu kẽ răng cửa tại nhà hiệu quả

Nếu tình trạng răng cửa bị sâu nhẹ, bạn có thể tham khảo một số phương pháp điều trị sâu răng tại nhà đơn giản, nhanh chóng, tiết kiệm:

  • Sử dụng lá ổi non để chữa sâu răng.

  • Sử dụng nước ép từ lá bàng non để giảm cơn đau nhức do răng bị sâu.

  • Dùng cánh hoa cúc vàng để tiêu diệt vi khuẩn, kháng viêm cho răng sâu.

  • Dùng nhựa đu đủ để ức chế quá trình sâu răng lan rộng.

  • Dùng hạt tiêu đen và húng quế để giảm đau, giảm sưng răng.

  • Dùng lá trầu không chữa sâu răng.

  • Dùng gừng và tỏi chữa sâu răng.

Cách ngăn ngừa sâu răng cửa

Không ai muốn bị sâu răng cả. May mắn thay, ADA nhấn mạnh rằng bạn có thể giảm đáng kể nguy cơ sâu răng bằng một số bước đơn giản sau: 

  • Xây dựng thói quen vệ sinh răng miệng đúng cách tại nhà. Nhớ dùng bàn chải đánh răng cọ mềm để chải răng hai lần một ngày bằng kem đánh răng có chứa chất fluoride. Dùng chỉ nha khoa thường xuyên hoặc máy tăm nước để làm sạch sâu các mảng bám trên răng.

  • Thiết lập chế độ ăn uống cân bằng và cố gắng hạn chế thực phẩm và đồ uống có chứa nhiều đường.

  • Bạn cũng cần khám răng và làm sạch răng chuyên nghiệp định kỳ.

     

vệ sinh răng miệng đúng cách để tránh sâu răng
 

Nếu bạn phát hiện ra mình đang bị sâu răng cửa hoặc nhận thấy rằng răng cửa của trẻ bị sâu, hãy đến ngay nha khoa để thăm khám và điều trị kịp thời. Bằng cách thực hiện các biện pháp phòng ngừa đơn giản, bạn có thể giảm nguy cơ sâu răng trong tương lai và giúp cả gia đình mình luôn có nụ cười chắc khỏe.