
Viêm nướu răng (Hay còn gọi là viêm lợi hoặc viêm chân răng) là tình trạng viêm cấp tính phổ biến gây ảnh hưởng đến nha chu (các mô nâng đỡ và bao quanh răng). Một trong những dấu hiệu chính của viêm nướu chân răng là đau răng, xuất hiện sự viêm nhiễm nướu, sưng đỏ hoặc chảy máu chân răng. Viêm nướu răng cần được chẩn đoán và điều trị sớm để tránh những vấn đề nghiêm trọng hơn.
Theo Học viện Nghiên cứu Nha Chu Hoa Kỳ, tình trạng viêm nướu cấp kéo dài nếu không được điều trị hiệu quả sẽ dẫn đến sâu răng và bệnh viêm nha chu, đây là nguyên nhân chính gây mất răng ở người lớn. Bệnh viêm nướu và viêm nha chu có liên quan đến các biến chứng mang tính hệ thống, như bệnh tim, tiểu đường, đột quỵ, bệnh hô hấp, loãng xương và sinh non.
Người không chú trọng đến vệ sinh răng miệng.
Người thường xuyên hút thuốc, sử dụng rượu bia.
Người cao tuổi.
Phụ nữ mang thai, sau khi sinh con do nội tiết tố thay đổi.
Người có chế độ ăn uống không đầy đủ các chất dinh dưỡng.
Người mắc các bệnh lý như tiểu đường, HIV/AIDS,...
Mỗi trường hợp viêm nướu sẽ có những dấu hiệu bệnh khác nhau. Nhưng nhìn chung, các dấu hiệu thường gặp của bệnh nhân bị viêm nướu bao gồm:
Nướu sưng đỏ hoặc hơi đỏ (dấu hiệu viêm mãn tính).
Xuất hiện tình trạng chảy máu chân răng khi chải răng hoặc dùng chỉ nha khoa.
Khi chạm vào nướu cảm thấy mềm.
Xuất hiện mủ trắng, vàng trên nướu.
Có hiện tượng viêm (phù) hoặc sưng nướu răng.
Có cảm giác đau nhức răng khi nhai.
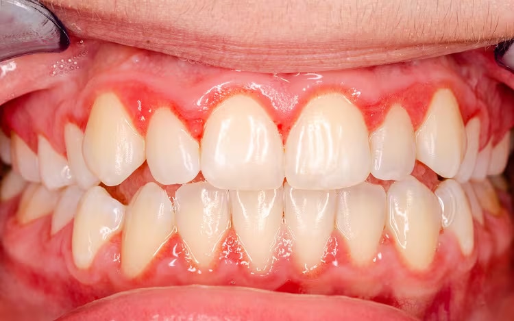
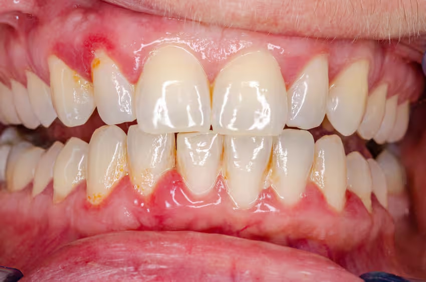
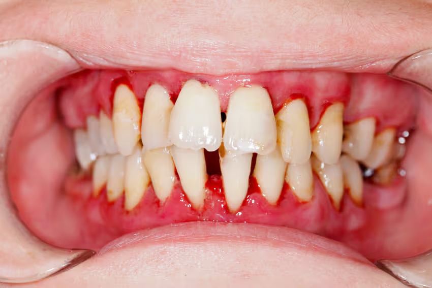
Một số hình ảnh viêm nướu răng (viêm chân răng) từ mức độ nhẹ tới mức độ nặng:


Bên cạnh những dấu hiệu thường thấy, viêm nướu ở một số bệnh lý đặc biệt sẽ có thêm một số triệu chứng khác mà bạn cần phải lưu ý gồm:
Viêm nướu răng thông thường: Rãnh nướu sâu hơn 3mm, có dấu hiệu sưng đỏ, lợi bị phồng và dễ chảy máu. Tình trạng viêm này không quá nguy hiểm, nhưng cần chú ý vệ sinh mảng bám kỹ lưỡng để tránh vi khuẩn phát triển thành viêm quanh chân răng.
Viêm nướu do thay đổi nội tiết tố ở phụ nữ mang thai, hoặc trong thời kỳ mãn kinh: Có thể xảy ra viêm lợi bong vảy hoặc sưng lợi và có thể phát triển thành các u hạt sinh mủ.
Viêm nướu chân răng do tiểu đường: Những bệnh nhân tiểu đường, có nguy cơ cao bị viêm nướu, viêm nha chu và có khả năng dẫn đến áp xe răng. Người mắc bệnh đái tháo đường có hàm lượng đường trong nước bọt sẽ cao hơn người bình thường, tạo môi trường thuận lợi cho vi khuẩn phát triển.
Nướu bị viêm do bệnh bạch cầu (Leukemia): Nướu bị sưng do thâm nhiễm bạch cầu, gây đau và chảy máu nướu.
Viêm chân răng do bệnh Scorbut: Nướu phì đại, căng ứ và dễ chảy máu khi có tác động nhẹ, đồng thời trong miệng xuất hiện các vết bầm và đốm do xuất huyết.
Thiếu vitamin PP: Bên cạnh viêm nướu và dễ chảy máu, bệnh nhân còn có các dấu hiệu như môi khô nứt, khô miệng, lưỡi và niêm mạc bị loét.
Khi xuất hiện các dấu hiệu nêu trên, người bệnh nên đến các cơ sở y tế được thăm khám và điều trị kịp thời. Điều trị bệnh từ sớm sẽ dễ dàng hơn, giảm nguy cơ viêm nha chu lan rộng đến các vùng xung quanh và hạn chế tình trạng mất răng.
Chăm sóc, vệ sinh răng miệng kém
Theo MSD Manual, nguyên nhân chính dẫn đến viêm nướu là do vệ sinh răng miệng kém, tạo điều kiện cho mảng bám và vi khuẩn tích tụ giữa nướu và răng. Khi đánh răng không kỹ hoặc không sử dụng chỉ nha khoa để làm sạch kẽ răng, các mảng bám sẽ đọng lại tạo điều kiện cho vi khuẩn phát triển. Trong trường hợp hệ miễn dịch cơ thể suy yếu, các vi khuẩn sẽ phát triển gây viêm chân răng.
Tình trạng viêm mãn tính có thể làm bệnh viêm nướu trở nặng hơn, thậm chí diễn biến nghiêm trọng hơn ở những người có yếu tố di truyền hoặc đang sử dụng thuốc (ví dụ thuốc cyclosporine, thuốc chống co giật và thuốc chặn kênh hấp thụ canxi).
Các nguyên nhân khác gây ra bệnh viêm nướu bao gồm: căng thẳng thần kinh, bước vào tuổi dậy thì, dinh dưỡng không đầy đủ, nhiễm HIV, hút thuốc, lão hóa và thay đổi nội tiết tố.
Có một số cách chữa trị viêm nướu tại nhà đơn giản mà bạn có thể thực hiện khi không thể đến bệnh viện hoặc các trung tâm y tế ngay lập tức:
Súc miệng bằng nước muối: Nước muối có tác dụng diệt khuẩn và rửa trôi mảng bám hiệu quả. Nước muối súc miệng pha loãng hoặc nước muối sinh lý sẽ giúp bạn cải thiện tình trạng viêm nướu.
Sử dụng túi lọc trà: Lá trà có chứa chất axit tannic với đặc tính kháng viêm tự nhiên sẽ làm dịu vết sưng viêm ở nướu. Bạn chỉ cần dùng bã trà đã qua sử dụng hoặc túi lọc trà còn ấm để chườm lên vùng bị viêm nướu. Duy trì sử dụng để thấy rõ hiệu quả giảm viêm.
Dùng mật ong: Mật ong cũng là một loại thực phẩm có tính kháng viêm, giảm sưng hiệu quả. Sau khi đánh răng xong, bạn chỉ cần dùng một lượng nhỏ mật ong thoa vào vùng nướu bị sưng, mật ong sẽ làm vết sưng dịu xuống.
Lô hội (nha đam): Lô hội cũng là một nguyên liệu phổ biến và dễ tìm để bạn có thể trị viêm nướu tại nhà. Bạn chỉ cần ép một ít nha đam để lấy nước, sau đó xoa nhẹ vào vùng bị viêm. Bạn cần duy trì thường xuyên để thấy được hiệu quả.
Nước ép bưởi: Trong bưởi có chứa chất sát khuẩn, đặc biệt là vitamin C có khả năng chống lại các bệnh viêm nhiễm. Sử dụng nước ép bưởi thoa lên vùng bị viêm sẽ giúp làm dịu và cải thiện tình trạng viêm nướu.
Sử dụng kem đánh răng trị viêm nướu có chứa Fluoride như kem đánh răng Colgate Sensitive Pro Relief giúp chăm sóc nướu, bảo vệ răng nhạy cảm, ngăn chặn răng ê buốt.
Những cách chữa trị viêm chân răng chân răng tại nhà chỉ là phương pháp tạm thời. Bạn vẫn cần đến phòng khám nha khoa ngay khi nhận thấy bất kỳ dấu hiệu hoặc triệu chứng nào của viêm nướu miệng. Nếu được chẩn đoán và điều trị sớm, bạn sẽ có nhiều khả năng chữa trị triệt để và ngăn ngừa tiến triển thành bệnh nha chu.
Khi đến phòng khám, nha sĩ sẽ đánh giá tình trạng viêm nướu và làm sạch răng miệng kỹ lưỡng để loại bỏ tất cả mảng bám và cao răng. Sau đó các bác sĩ sẽ hướng dẫn bệnh nhân sử dụng chỉ nha khoa có kỹ thuật hiệu quả để ngăn ngừa viêm nướu trở lại.
Viêm nướu răng không chỉ gây ra khó chịu mà còn có thể dẫn đến những vấn đề lớn hơn như suy giảm chức năng nướu, tổn thương mô xương và mất răng. Vì vậy, việc sử dụng những loại thuốc điều trị nhiễm trùng nướu hiệu quả và an toàn là một yếu tố quan trọng để đảm bảo sức khỏe răng miệng.
Bác sĩ có thể sẽ chỉ định thuốc giảm đau để kiểm soát cơn đau, giúp bệnh nhân thấy dễ chịu hơn trong việc ăn uống và vệ sinh răng miệng. Các loại thuốc giảm đau thường được kê đơn bao gồm:
Acetaminophen (Paracetamol): được bào chế dưới nhiều dạng (viên sủi, thuốc viên) với hàm lượng khác nhau trong việc cải thiện cơn đau từ nhẹ đến nặng. Thuốc Paracetamol có khả năng dung nạp tốt ở hầu hết bệnh nhân.
Ibuprofen: một hoạt chất thường được sử dụng để giảm đau nướu an toàn và ít xảy ra tác dụng phụ. Tuy nhiên cần lưu ý sử dụng thuốc giảm đau cho bệnh nhân suy thận, có tiền sử hen phế quản và loét dạ dày, tá tràng.
Thuốc kháng viêm Corticosteroid thường được sử dụng theo chỉ định của bác sĩ trong thời gian ngắn để giảm đau nướu và ngăn ngừa tổn thương tuỷ răng hiệu quả.
Tuy nhiên, không sử dụng thuốc Corticosteroid cho trẻ em và trẻ sơ sinh bị viêm nướu chân răng khi chưa được sự hướng dẫn của nha sĩ.
Sử dụng nước súc miệng sát khuẩn chứa Chlorhexidine giúp hỗ trợ giảm vi khuẩn trong miệng và cải thiện tình trạng viêm chân răng. Khi kết hợp sử dụng nước súc miệng sát khuẩn cùng chỉ nha khoa, đánh răng đúng cách sẽ làm tăng hiệu quả điều trị bệnh răng miệng. Bệnh nhân nên sử dụng 15ml nước súc miệng Chlorhexidine trong 30 giây, 2 lần mỗi ngày.
Một số loại thuốc gây tê tại chỗ như Lidocaine và Prilocaine được bác sĩ nha khoa chỉ định sử dụng trong điều trị viêm nướu. Lưu ý, bệnh nhân không được tự ý sử dụng thuốc khi chưa có chỉ định của bác sĩ để tránh các tác dụng phụ như: sưng, kích ứng nướu răng, buồn nôn.
Đối với những bệnh nhân có tình trạng viêm nướu mãn tính, tiến triển thành viêm nha chu, bác sĩ sẽ kê kháng sinh để điều trị hiệu quả hơn. Một số loại thuốc kháng sinh răng thường được sử dụng để điều trị viêm nướu nghiêm trọng bao gồm:
Penicillin: loại kháng sinh phổ biến được sử dụng để điều trị viêm nướu răng. Liều lượng thông thường là 500mg mỗi 8 giờ hoặc 1000mg mỗi 12 giờ.
Erythromycin: thuốc này có tác dụng tương tự như Penicillin và thường được sử dụng cho những người bệnh dị ứng với Penicillin.
Clindamycin: có khả năng chống lại nhiều loại vi khuẩn trong miệng. Liều dùng thông thường là 300mg hoặc 600mg, mỗi 8 giờ một lần.
Azithromycin: thuốc này được sử dụng để ngăn ngừa sự phát triển của vi khuẩn gây nhiễm trùng nướu, chỉ định khi bệnh nhân dị ứng với penicillin.
Tetracycline: loại kháng sinh này được sử dụng để giảm hoặc loại bỏ tạm thời vi khuẩn có thể gây viêm nướu cấp. Thuốc còn ngăn ngừa tình trạng viêm sưng nướu, chảy máu nướu, viêm nướu răng có mủ.
Thông thường, bác sĩ sẽ chỉ định đồng thời cả thuốc uống và thuốc bôi tại chỗ để đạt hiệu quả tốt hơn. Thuốc bôi viêm nướu răng là dạng thuốc dùng ngoài được sử dụng bôi trực tiếp vào chỗ nướu răng bị viêm, sưng. Sản phẩm thường được bào chế ở dạng gel, dạng dung dịch súc miệng hoặc dạng sợi để đưa vào mô nướu quanh chân răng.
Vệ sinh răng miệng đều đặn và đi khám nha khoa định kỳ là những cách quan trọng trong việc ngăn ngừa viêm nướu răng. Bạn có thể tham khảo một số cách chăm sóc răng miệng tại nhà dưới đây:
Đánh răng ít nhất 2 lần/ngày và sử dụng chỉ nha khoa để làm sạch kẽ răng. Cần vệ sinh răng miệng nhẹ nhàng để tránh gây tổn thương đến nướu.
Sử dụng nước súc miệng diệt khuẩn.
Duy trì chế độ ăn uống khoa học và lành mạnh.
Từ bỏ các thói quen ảnh hưởng xấu đến sức khỏe như hút thuốc lá, sử dụng rượu bia, thức khuya,...
Bên cạnh đó bạn cũng cần đến phòng khám nha khoa để kiểm tra răng miệng định kỳ 6 tháng/lần. Điều này sẽ giúp bạn sớm phát hiện những căn bệnh tiềm ẩn để có hướng điều trị kịp thời trước khi bệnh trở nặng.
Hy vọng những thông tin về nguyên nhân, dấu hiệu và cách điều trị bệnh viêm nướu răng trong bài viết trên hữu ích với bạn. Nếu bạn có những thắc mắc liên quan đến tình trạng bệnh của mình, bạn nên trực tiếp đến gặp bác sĩ để được giải đáp và hỗ trợ kịp thời.
Các bài báo của Trung tâm Chăm sóc Răng miệng Colgate được xem xét bởi một chuyên gia y tế về sức khỏe răng miệng. Thông tin này chỉ dành cho mục đích giáo dục, không nhằm mục đích thay thế cho lời khuyên, chẩn đoán hoặc điều trị y tế chuyên nghiệp. Hãy luôn tìm kiếm lời khuyên của nha sĩ, bác sĩ hoặc nhà cung cấp dịch vụ chăm sóc sức khỏe đủ tiêu chuẩn khác.